Доктор Лоран Маршан
Доктор Лоран Маршан получил степень по стоматологии в Бернском университете, Швейцария, в 2011 году, где он также защитил докторскую диссертацию в ортопедическом отделении. Затем он прошел 3-летний курс последипломного образования по несъемному и съемному протезированию на кафедре несъемного протезирования и биоматериалов Женевского университета, Швейцария, с 2016 по 2019 год. Доктор Лоран Маршан начал свой год получения стипендии ITI на кафедре челюстно-лицевой хирургии Шанхайского университета Цзяо Тонг в 2020 году. Является научным сотрудником Кафедры несъемного протезирования и биоматериалов Женевского университета.
Винсент Фемер
Винсент Фемер получил техническое стоматологическое образование и степень в Штутгарте, Германия, в 2002 году. В 2009 году он получил степень MDT в Германии. С 2009 по 2014 год он был главным зубным техником в Клинике несъемного и съемного протезирования в Цюрихе, Швейцария. С 2015 года работает зубным техником в Клинике несъемного протезирования и биоматериалов в Женеве, Швейцария, и руководит собственной лабораторией в Лозанне, Швейцария. Является научным сотрудником ITI и членом группы Oral Design, Европейской ассоциации стоматологических технологий (EADT) и Немецкого общества эстетической стоматологии (Deutsche Gesellschaft für Ästhetische Zahnheilkunde, DGÄZ).
Ирена Сайлер
Ирена Сайлер — профессор, д.м.н., заведующая кафедрой несъемного протезирования и биоматериалов Женевского университета, Швейцария. Профессор кафедры профилактических и восстановительных наук в Центре Роберта Шаттнера Школы стоматологической медицины Пенсильванского университета, Филадельфия, США. Член Совета директоров Швейцарского общества реконструктивной стоматологии и EAO, руководитель секции ITI в Швейцарии, главный редактор Международного журнала ортопедии.
Оглавление
- Вступление
- Силикатная керамика
- Оксидная керамика
- Гибридная керамика
- Облицовка металлокерамикой/фарфором (PFM)
- Выводы
Вступление
Корни термина «керамика» восходят к греческому слову «keramos», которое, в свою очередь, в переводе с санскрита означает «гореть». Таким образом, можно предположить, что керамический материал представляет собой вещество, закаленное путем обжига или термической обработки. Более научное определение слова «керамика» — это материал, который содержит как металлические, так и неметаллические элементы, удерживаемые вместе сильными ионными и ковалентными атомными связями.
В стоматологии керамические материалы могут использоваться для протезирования в эстетической зоне, а также в качестве каркасного материала для реставраций. Чтобы выбрать подходящий реставрационный материал, ортопеду важно понимать некоторые свойства керамического материала, такие как прочность на изгиб (в мегапаскалях, МПа), вязкость разрушения (KIc, в МПа x м1/2) и модуль упругости (в гигапаскалях ГПа). Керамические материалы часто используются в стоматологии благодаря их многочисленным преимуществам, таким как устойчивость к коррозии, химическая инертность и превосходная биосовместимость. Кроме того, возможность изготовления керамических реставраций с помощью автоматизированного проектирования и автоматизированного производства (CAD/CAM) делает их эффективными с точки зрения затрат временного ресурса. С другой стороны, спектр керамики, используемой в имплантологии, довольно широк, и для достижения оптимального результата необходимо детальное знание химического состава, механических свойств и клинического применения.
Эта обзорная статья направлена на то, чтобы выделить различные классы керамических материалов, используемых в настоящее время в имплантологии, и предлагает рекомендации по обращению с ними как для стоматолога, так и для зубного техника.
Силикатная керамика
Самую большую группу керамических материалов, используемых в стоматологии, часто называют силикатной керамикой из-за того, что кремний является центральным химическим элементом. Оксиды кремния — это очень универсальные молекулы, которые можно комбинировать с различными другими элементами для образования различных камней, стекол и кристаллов. Однако, в отличие от стекла, стоматологическая силикатная керамика характеризуется контролируемым ростом кристаллов внутри стеклообразной матрицы (стеклокерамика). Этот рост кристаллов можно модифицировать, смешивая различные добавки с оксидами кремния, в результате чего получаются кристаллы разных размеров и форм с разными параметрами. Алюминий, например, часто добавляют для образования кристаллов, таких как полевой шпат или лейцит (алюмосиликаты). Другие известные кристаллы включают фторапатит, литий-алюмосиликат и литий-(ди)силикат. Соотношение аморфной стеклообразной матрицы и типа кристалла определяет конечные оптические и механические свойства керамического материала.
Полевошпатная керамика имеет большое количество стеклообразной матрицы с вкраплениями нескольких кристаллов. Стеклянная фаза обеспечивает высокую прозрачность и, следовательно, благоприятный эстетический вид, в то время как уменьшенный процент кристаллов делает материал механически слабым (прочность на изгиб ~100 МПа, ударная вязкость KIc ~0,9 МПа x м1/2). В имплантологии полевошпатная керамика почти исключительно используется в качестве облицовочной керамики для более прочных каркасных материалов. Облицовка остается ручным этапом изготовления, выполняемым зубным техником для достижения оптимального эстетического результата в индивидуальной клинической ситуации. Этот процесс также сопряжен с потенциальными рисками попадания примесей или пузырьков воздуха, которые могут еще больше ослабить материал.
Керамические материалы с более высоким уровнем роста кристаллов и меньшим количеством матрицы обычно демонстрируют более высокую механическую стойкость за счет некоторого коэффициента пропускания света. Стеклокерамика, армированная литием (ди)силикатом, например, демонстрирует прочность материала, которая позволяет использовать ее для монолитных реставраций (прочность на изгиб ~350-400 МПа, ударная вязкость KIc ~2-3 МПа x м1/2). Этот тип стеклокерамики хорошо задокументирован и демонстрирует отличные клинические результаты (Pieger et al 2014; Malament et al 2019). Тем не менее, правильный производственный протокол необходим для обеспечения оптимальной топографии поверхности и эстетики. Поскольку в настоящее время нет многоцветных заготовок, зубной техник должен компенсировать монохроматический базовый материал, применяя поверхностное окрашивание керамики и глазурование. Это почти всегда необходимо для достижения естественного и эстетичного вида реставрации. Как правило, предпочтительнее выбрать немного более яркий базовый цвет, а затем нанести хроматические красители на области тела и шейки протеза. Другим важным аспектом является уменьшение шероховатости окклюзионной поверхности коронки, поскольку в противном случае это неизбежно приведет к износу зуба-антагониста. Следовательно, окклюзионная поверхность должна быть очень хорошо отполирована с помощью градуированных силиконовых полировальных инструментов перед нанесением последних слоев красителя и глазури.
Клинические показания к использованию стеклокерамики, армированной литием (ди)силикатом, включают одиночные коронки с опорой на имплантаты в переднем и боковом отделах, а также несъемные зубные протезы (FDP) вплоть до области премоляров. Чтобы склеить любой силикатный керамический материал, необходимо использовать травление плавиковой кислотой для предварительной обработки склеиваемой поверхности. Кроме того, следует применять связующий агент, содержащий силан, для достижения оптимального химического сплавления полимерного цемента.

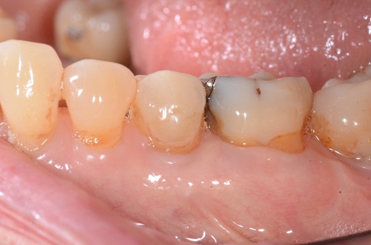
Рис. 3 Гибридный абатмент-коронка был зацементирован на базовую вставку из титановой смолы, что позволяет ввинчивать фиксацию непосредственно в имплантат
Оксидная керамика
Оксидная керамика, иногда также называемая высокопрочной керамикой, представляет собой группу материалов, которые почти не имеют стекловидной матрицы, а состоят почти исключительно из кристаллов. Однако основными элементами этой группы являются не кремний, а цирконий или алюминий. В стоматологии наиболее широко используемой оксидной керамикой является диоксид циркония из-за его высокой прочности на изгиб (~1000 – 1200 МПа), превосходящей даже сталь. Однако, в отличие от металла, диоксид циркония не может деформироваться под нагрузкой и поэтому очень хрупок (вязкость разрушения KIc3-8 МПа x м1/2, модуль упругости ~200 ГПа).
Кристаллическая форма циркония может существовать в моноклинной фазе (при комнатной температуре), в тетрагональной фазе (при ~1170°С) или в кубической фазе (при ~2370°С). Для стабилизации прочной тетрагональной фазы при комнатной температуре добавляют стабилизирующий агент в виде иттрия или церия. Если в этой метастабилизированной фазе образуется трещина, напряжение может привести к локальному переходу обратно в моноклинную фазу. Это фазовое превращение вызывает локализованное объемное расширение примерно на 4%, которое действует как противодавление и препятствует распространению трещины. Этот факт делает тетрагональный диоксид циркония идеальным материалом для ситуаций, когда требуется высокая прочность в течение длительного периода времени, например, для каркасов или монолитных реставраций. В качестве альтернативы тетрагональному диоксиду циркония с высокой степенью непрозрачности производители недавно начали предлагать диоксид циркония в кубической фазе. Хотя эта фаза обладает лучшими эстетическими характеристиками благодаря более высокому светопропусканию, эффект фазового превращения теряется, что делает материал механически менее прочным (400 – 800 МПа).
Как правило, диоксид циркония можно использовать для изготовления монолитной конструкции или в качестве каркаса для двухслойной конструкции. В зуботехнической лаборатории диоксид циркония обычно фрезеруется из блока предварительно кристаллизованного материала с использованием технологии CAD/CAM, а затем спекается при высокой температуре. Перед спеканием желательно отполировать заготовку, чтобы добиться ровного рельефа поверхности. При работе с монолитными реставрациями глазурь следует наносить только на аксиальные поверхности, а не на окклюзионную область. Это связано с тем, что слой глазури стирается примерно через 6 месяцев эксплуатации, оставляя потенциально неполированный диоксид циркония открытым (Etman, 2009). Чтобы не подвергать опасности противоположный зубной ряд, предпочтительно иметь оптимально отполированную окклюзионную поверхность циркониевой конструкции, сводя к минимуму износ. Если цирконий используется в качестве каркаса, очень важно выбрать облицовочную керамику, совместимую с коэффициентом теплового расширения (КТР) циркония, который компенсирует более низкие скорости нагрева и охлаждения.
Клинически подтверждено, что диоксид циркония является успешным реконструктивным материалом для многих различных показаний. К примеру, диоксид циркония демонстрирует отличные клинические результаты при изготовлении одиночных коронок с фиксацией на имплантатах на передние и на задние зубы (Pjetursson et al., 2018; Sailer et al., 2018; Le et al., 2015). Если эстетический вид не имеет критического значения, предпочтение отдается монолитному методу реконструкции из-за меньшего количества технических сложностей (исключается риск сколов керамики). При работе с FDP следует использовать тетрагональный диоксид циркония, либо монолитный, либо щечно облицованный. Цирконий также можно использовать в качестве каркаса для полного протезирования зубного ряда. Хотя результаты этого метода реконструкции кажутся многообещающими, следует отметить, что в настоящее время имеется ограниченная доступная долгосрочная документация (Bidra et al, 2017).
Когда требуется адгезивное соединение с диоксидом циркония, кислотное травление не может использоваться для предварительной обработки материала, поскольку нет доступной кремниевой матрицы. Таким образом, для достижения оптимальной химической связи с диоксидом циркония поверхность должна быть подвергнута пескоструйной обработке (с покрытием из диоксида кресния) частицами оксида алюминия размером около 30 мкм. При использовании большего размера зерна пескоструйная обработка может привести к микротрещинам, что снижает механическую стабильность. После пескоструйной обработки на склеиваемую поверхность необходимо нанести связующее вещество, содержащее молекулу 10-MDP (10-метакрилоилокси-децил-дигидрофосфат). В идеале цемент, который также содержит молекулу 10-MDP, выбирается для достижения оптимальных адгезионных свойств.
Гибридная керамика
Постоянное развитие в области материаловедения привело к появлению нового класса материалов, часто называемых гибридной керамикой. Термин «гибрид» означает, что керамический материал объединен с другим компонентом, обычно полимером (диметакрилат уретана UDMA/диметакрилат триэтиленгликоля TEGDMA). Целью комбинирования этих материалов является использование прочности керамики, а также эластичности смолы, что позволяет имитировать естественную ткань зуба. В обоих случаях прочность на изгиб (~120-180 МПа) и вязкость разрушения (KIc ~1,5 МПа x м1/2) находятся между традиционным полимерным композитом и стеклокерамикой. Низкий модуль упругости (~25-30 ГПа) близок к натуральному дентину и позволяет гибридному материалу действовать как амортизатор.
Одним из основных преимуществ гибридного керамического материала является то, что для закалки материала не требуется термическая обработка. Таким образом, заготовка может быть выфрезерована из предварительно изготовленного блока и подвергнута непосредственно постобработке (окрашивание и полировка). Эта быстрая процедура изготовления также позволяет использовать гибридные материалы, что является еще одним преимуществом. С другой стороны, гибридная керамика подвержена износу из-за снижения прочности и твердости. Другим недостатком, по-видимому, является долговременная стабильность цвета. Идеальная стратегия применения гибридных материалов заключается в применении многоцветных блоков или заготовок, которые уже содержат цветовые градиенты. Если желаемый цвет близок к многослойной заготовке, фрезерованная реконструкция может быть непосредственно доработана. В противном случае можно применить светоотверждаемую систему эстетического окрашивания и глазурования для дальнейшей индивидуализации реставрации. В обоих случаях окончательная реставрация должна быть отполирована до блеска с помощью градуированных силиконовых полировальных инструментов и финишной пасты, содержащей алмазные частицы.
Гибридная керамика является относительно новым реставрационным материалом, но, похоже, хорошо себя зарекомендовала в клинических условиях (Spitznagel et al, 2018; Bustamante-Hernández et al, 2020). Она подходит для одиночных коронок с опорой на имплантаты в переднем и заднем отделах. В настоящее время гибридная керамика не обладает достаточными механическими свойствами для многоэлементных конструкций. Поскольку эти гибридные материалы содержат как керамические, так и смоляные компоненты, для достижения адгезионного соединения можно использовать либо пескоструйную обработку, либо кислотное травление плавиковой кислотой. Однако в обоих случаях на склеиваемую поверхность следует нанести связующее вещество, содержащее силан.
Облицовка металлокерамикой/фарфором (PFM)
В традиционных металлокерамических реставрациях используется металлический каркас, обеспечивающий механическую стабильность, в сочетании с облицовочной керамикой для улучшения эстетического вида. Этот метод реставрации хорошо описан в литературе и обеспечивает отличный клинический успех (Pjetursson et al 2018; Sailer et al 2018, Lemos et al 2019). В то же время двухслойность этих реставраций сопряжена с потенциальными техническими сложностями. Главным из них является излом облицовочной керамики («выкрашивание»). В последние годы эта проблема может быть частично решена за счет разработки более оптимизированной облицовочной керамики, которая имеет более прочное соединение с каркасом. К другим недостаткам металлокерамических реставраций относятся потенциальная непереносимость/аллергия, выделение ионов металлов в окружающие ткани и высокая непрозрачность.
При работе с облицовочной керамикой крайне важно выбрать материал, совместимый с коэффициентом теплового расширения (КТР) материала каркаса. Если КТР каркаса и облицовки не совпадают, различное поведение при нагреве и охлаждении во время обжига может привести к микротрещинам, что значительно ослабит линию спайки материалов. Поэтому для циркония, драгоценных и неблагородных сплавов может потребоваться выбор другой облицовочной керамики.
С появлением цифровой стоматологии металлокерамические конструкции с опорой на имплантаты также могут быть изготовлены с использованием технологии CAD/CAM. Это обеспечивает превосходное прилегание коронке к супраструктуре имплантата, а также экономит время и деньги по сравнению с традиционным изготовлением гипсовых слепков. Однако в то же время процесс ручной облицовки, выполняемый зубным техником, занимает очень много времени. Необходимо точно соблюдать различные лабораторные этапы (окисление, нанесение опака, облицовка), что требует глубокого знания этого процесса от исполнителей. Кроме того, облицовочная керамика должна наноситься в течение нескольких циклов обжига из-за усадки материала. Во время этих производственных циклов присутствует постоянный риск возникновения трещин и попадание примесей.
Тем не менее, металлокерамические конструкции подходят для многих показаний. В первую очередь продолжительные мосты выигрывают от долговременной стабильности, которую предлагает металлический каркас.
Выводы
- Керамика — универсальный реставрационный материал, который можно использовать при различных клинических показаниях
- Для достижения оптимального результата необходимо знание химического состава, механических свойств, эстетических характеристик и клинического применения
- Для обеспечения правильного выбора материала большое значение имеет хорошая коммуникация и сотрудничество с зубным техником
- Керамика остается технически чувствительной группой материалов, требующих передовых знаний как со стороны стоматолога, так и со стороны зубного техника
















