Майя Хмелевская
Сертифицированный инструктор CoDiagnostiX и соавтор книги «Направленная хирургия». Работая частично в зуботехнических лабораториях, она приобрела дополнительные знания в области стоматологических технологий, которые помогают ей в повседневной хирургической практике и планировании имплантации. Ее опыт работы с CAD/CAM включает как внутриротовые (IO), так и лабораторные сканеры, лабораторные программы CAD/CAM, фрезерные станки и 3D-печать, особенно в случаях на основе имплантатов.
Содержание:
- Вступление
- Плюсы 3d-сканирования для пациентов
- Плюсы 3d-сканирования для клиники
- Мониторинг пациентов и модели
- Точность сканирования
- Какие проблемы можно ожидать и как их решить
- Поверхность/цвет не сканируется
- Память сканера и хранилище данных
- Высокая подвижность слизистой оболочки щек, губ и языка
- Цвет различается в разных областях сканирования
- Искажение сканирования
- Резюме
Вступление
Стоматология становится все более цифровой, хотя в настоящее время только небольшая часть стоматологов перешла на цифру. При этом тема цифровых оттисков является актуальной в сфере имплантации, ортодонтии, хирургии по шаблонам и протезировании. Скорее всего, вы задаетесь вопросом, следует ли вам приобрести интраоральный сканер для вашей клиники, или, если он у вас уже есть, вам может быть интересно, как лучше его использовать. Как и у всех технологий, у интраоральных сканеров есть свои плюсы и минусы. В этой статье я постараюсь дать ответы на большинство вопросов, которые возникают при переходе на цифру и дам вам несколько практических советов и приемов, как добиться лучших результатов сканирования.
Плюсы 3D-сканирования для пациентов
Интраоральные 3D-сканеры делают посещение стоматолога более позитивным для большинства пациентов. Дело не только в новом оборудовании. Это оборудование показывает пациентам, что их стоматолог развивается, инвестирует в свои навыки, улучшает качества лечения. Этот психологический фактор нельзя недооценивать, он может сделать вашу клинику более динамичной и укрепить отношения с вашими существующими пациентами.
Использование интраорального сканера также станет большим облегчением для пациентов, страдающих выраженным рвотным рефлексом или имеет неприятный опыт снятия аналоговых слепков в прошлом. Возможность сразу же показать пациентам их собственные зубы на экране также является отличным способом общения с ними. 3D-модель помогает доктору объяснять пациентам такие ограничения реставрации, как перекрестный прикус, постэкстракционные изменения зубной дуги (например, феномен Попова-Годона), скученность, эрозию или стираемость зубов.
В программном обеспечении некоторых 3d-сканерами есть возможность делать внутриротовые снимки, чтобы показать определенную область на фото и видео, а не только на 3D-реконструкции. Другие сканеры снабжены системами обнаружения кариеса, чтобы максимизировать эффективность пребывания пациента в кресле. Большинство современных сканеров умеют быстро создавать цифровой дизайн улыбки (DSD), чтобы визуализировать направление, в котором вы хотите двигаться в лечении. В целом, пациенты, как правило, положительно оценивают свой опыт интраорального 3d-сканирования.
Плюсы 3D-сканирования для клиники
Покупка 3D-сканера — крупное вложение в оснащенность клиники. Вы должны понимать, что лицензионные сборы обычно выплачиваются ежегодно. Некоторые компании также взимают плату за экспорт данных, если вы хотите сохранить отсканированные файлы на своем компьютере или на сервере клиники (выгружать данные необходимо — переполненная внутренняя память сканера замедляет его работу).
На первый взгляд, наиболее очевидная экономия, которую может обеспечить 3D-сканер, — это оттискные массы и гипсовые слепки. Освобождает ли вас сканер от всех обычных оттисков? Конечно, нет, но это сократит количество расходных материалов, которые вы используете ежедневно. Для тех стоматологических клиник, у которых есть собственная лаборатория, это означает сокращение расходов на материалы. Для большинства клиник, сотрудничающих с лабораториями, цифровые слепки помогают сэкономить также на транспортных расходов, что положительно скажется на итоговой стоимости моделей.
Бывают случаи, когда классические оттиски неизбежны, чтобы обеспечить наилучшее качество работы нашим пациентам (к примеру, классические слепки необходимы при высокоподвижной слизистой беззубой нижней челюсти).
Сокращение времени пребывания в кресле, затрачиваемого на процедуры с отдельным пациентом, также освободит ваш график, что позволит вам выполнять больше реставраций или использовать дополнительное время для других целей.
3D-сканирование вместо снятия оттиска сокращает рабочий процесс в лаборатории. Вы можете предоставить информацию о цвете, предоперационное сканирование и предварительное сканирование, определить, какой материал вам нужен для протезирования. Лаборатории не нужно отливать гипсовые слепки, и они могут сразу приступить к созданию протеза.
Мониторинг пациентов и модели
Интраоральное сканирование полости рта пациентов, посещающих вашу клинику регулярно, позволит вам отслеживать прогресс и стабильность лечения (например, стираемость и сколы, стабильность ортодонтического лечения, миграция зубов), что улучшения уровень коммуникации с пациентом и повышает степень его доверия к доктору.
Сохраняя 3D-модели в своем хранилище данных, вы освобождаете место в своей клинике. Даже если вы настроите резервный сервер для хранения данных пациента, он не займет столько места для хранения, сколько шкафчик, заставленный гипсовыми слепками. Если в дальнейшем вам потребуется изготовить силиконовую модель, вы всегда можете изготовить ее из сохраненных данных, используя, например, технологию 3D-печати. Кроме того, ваши аналоги имплантатов и слепочные трансферы не замораживаются до тех пор, пока вы не изготовите и не проконтролируете ортопедическую реконструкцию, а ассистенты не тратят столько времени на поиск нужной коробки или освобождение и очистку слепочных колпачков и аналогов имплантатов.
Точность сканирования
Производители 3D-сканеров соревнуются в точности сканирования, беглости сканирования и дополнительных возможностях своего оборудования. Данные, предоставляемые компаниями, обычно показывают наилучший возможный результат для их продукта. Это означает, что тестирование обычно проводится стандартизированным образом на чем-то, что легко «сканировать», например на гипсовой модели. Да, вы можете достичь впечатляющей точности при сканировании идеальной модели, желательно покрытой спреем для сканирования или отлитой из подходящего для сканирования материала. Однако, в ходе работы вы будете сканировать вовсе не модели и вам может быть очень неприятно видеть результаты сканирования, которые значительно отличаются от ожидаемых.
Какие проблемы можно ожидать и как их решить:
Поверхность/цвет не сканируется
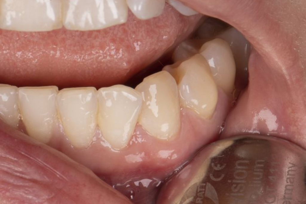
Во рту много различных поверхностей. Как правило, 3D-сканеры не работают, если поверхности, которые им необходимо сканировать, влажные (более толстый слой слюны, кровь), очень блестящие (полированные металлические пломбы/реконструкции), иногда очень темные (продукты коррозии металлических реконструкций/амальгам, изменения цвета, кариес) или просто расположены глубоко (узкие межзубные промежутки, профиль эмерджентности, глубокие фаски).
Есть несколько способов обойти перечисленные выше проблемы. Во-первых, старайтесь, чтобы область сканирования оставалась сухой. Вы быстро поймете, что вам не нужно постоянно сушить зубы феном, небольшое количество маловязкой слюны (например, после прикосновения щеки к зубу) не вызовет проблем. Однако, если вы обнаружите область, которую трудно сканировать, будь то профиль выступа или воспаленный сосочек, высушите ее, и сканер выявит больше деталей.
Если результат по-прежнему неудовлетворителен, обычно помогает удобный баллончик со спреем для сканирования. Несмотря на то, что теоретически поднутрения или интерпроксимальные поверхности зависят от глубины сканирования, достижимой с помощью наконечника сканера, спрей для сканирования поможет вам захватить сложные участки цифрового оттиска.
Причина может заключаться в том, что более темные области этих поднутрений (тени) легче улавливаются линзой с яркой пудрой, а блестящие межпроксимальные области становятся менее отражающими под углом, который вам нужен для их сканирования. Независимо от того, что стоит за этим, сканирующий спрей помогает в областях, которые трудно сканировать, даже если ваш 3D-сканер работает с использованием беспорошковой технологии.
Память сканера и хранилище данных
По сути каждый 3D-сканер представляет собой компьютер, и, как и в случае с любым компьютером, ключевым моментом его работоспособности является техническое обслуживание. Если мы наблюдаем снижение скорости сканирования или система запускается и обрабатывает данные очень медленно, вам может потребоваться больше памяти компьютера. Большинство производителей позволяют добавить память, конечно, за определенную плату.
Другим решением является систематизация данных и регулярное удаление данных пациентов из памяти сканера. Как правило, можно записать 3D-модели на флэш-накопитель, отправить их в лабораторию, переместить в файл карты пациента на сервере вашей клиники (в том числе, беспроводным способом, если вы подключите 3D-сканер к локальной сети). Некоторые сканеры позволяют хранить данные в облаке, однако это часто требует дополнительных затрат на облачное хранилище.
«Сложные области сканирования», подвижная слизистая оболочка и забитая память сканера будут влиять на скорость, с которой вы сможете выполнить сканирование — сканер может зависнуть во время сканирования, потерять траекторию сканирования, перестать захватывать изображение и так далее. Будьте готовы к различным сценариям, убедитесь что в памяти устройства хранится как можно меньше данных.
Высокая подвижность слизистой оболочки щек, губ и языка
Подвижность мягких тканей может быть действительно проблематичной для 3D-сканеров. Дело не в том, что сканер не может сканировать слизистую: он может, но если часть головоломки, которую собирает ваш сканер, сдвинется, сканирование зависнет. Допустим, на вашем скане регистрируется небольшой кусочек слизистой оболочки щеки вокруг области премоляра/моляра. Очень вероятно, что когда вы вернетесь в эту область, сканер будет снимать поверхность зубов, пока снова не зафиксирует область с кусочком слизистой, где он снова зависнет. Причина в том, что слизистая, скорее всего, изменила свое положение, и теперь новый фрагмент пазла не соответствует ранее отсканированному. Если вы продолжите, сканер будет продолжать зависать снова и снова. Простое решение — использовать инструменты обрезки сканирования, предоставляемые производителями. Приостановите сканирование, вырежьте участки слизистой, зафиксированные в проблемном месте, и повторите попытку.
Общий способ быстро и правильно провести сканирование пациента с первого раза — это подготовиться к сканированию. В этом вам помогут различные инструменты, такие как пластиковые или резиновые ретракторы, деревянные шпатели и т.д. По моему опыту, черные перчатки также помогают. Черный цвет воспринимается сканером не так быстро, как другие цвета перчаток, поэтому вы можете использовать палец в качестве ретрактора, когда двигаетесь по дуге сканирующим наконечником. Если слизистая оболочка очень подвижна, то с самого начала помогает использование цельного ретрактора. Он будет удерживать ткани на расстоянии от дуги, создавая натяжение уздечки, чтобы предоставить вам сканируемые контрольные точки на поверхности сканирования.
Цвет различается в разных областях сканирования
При использовании функций автоматического подбора цветов необходимо помнить, что цвет, записываемый на скане, зависит от окружающего освещения. Если вы сканируете с дополнительным источником света (например, лампой стоматологической установки), сканер будет фиксировать один цвет в хорошо освещенных областях и другой, более реалистичный, в областях освещенных только светом сканирующего наконечника. Чтобы избежать этого дополнительного осложнения, просто выключите другие источники света — яркость света наконечника достаточна для правильного сканирования поверхностей.
Искажение сканирования
3D-сканеры записывают зеркальное изображение (в виде одиночных изображений, наложенных друг на друга, или видеозаписи) через встроенный объектив. Затем они обрабатывают изображения и создают мгновенную 3D-модель отсканированной поверхности. Это позволяет минимизировать размер сканирующего наконечника, но также создает искажения. Думайте об этом, как о панорамном снимке комнаты с помощью телефона. Как и сканер, ваш телефон будет делать отдельные снимки и связывать их друг с другом для создания окончательного панорамного снимка. Каждое изображение сшивается со следующим путем нахождения одинаковых мест и слияния совпадающих частей. Однако на более длинном пути сканирования это может привести к небольшим ошибкам, которые накапливаются, создавая искажение 3D-модели вашего пациента. Реальность такова, что даже при использовании 3D-сканеров ведущих производителей, полное сканирование дуги может привести к искажениям на 1 мм, и вы никогда не узнаете, в какую сторону.
Искажения видны, если вы наложите два скана в программе CAD/CAM. Избежать искажений помогает поэтапное сканирование отдельных зубов и квадрантов.
Резюме
3D-сканеры могут принести большую пользу вашей клинике, но, как и в случае с любым другим инструментом, необходимо потратить какое-то время на обучение, чтобы получать безошибочные сканы.










