Пол ван Зил
Научный сотрудник ITI с 2001 года. Регулярно читает лекции на курсах ITI, SADA, SAAO и APSA. Лектор и ортопедический координатор Недели образования ITI, организованной в Университете Претории, Центр передового опыта ITI.
Содержание:
- Вступление, цели
- Одиночная имплантация. Клинический пример
- Множественная имплантация. Клинический пример
Вступление, цели
За последние годы мы стали свидетелями многих достижений в области дизайна зубных имплантатов и технологий обработки поверхностей. Однако в течение продолжительного времени подбор компонентов супраструктуры был основан на традиционном аналоговом лабораторном способе изгоотовления с использованием выжигания и металлических отливок, которые обеспечивают широкий спектр точности конечных протезов.
С тех пор как интраоральные сканеры стали важной частью производства протезов, компоненты имплантатов существенно изменились. Появились материалы, которые можно было точно отфрезеровать или напечатать на основе цифрового скана, включая монолитный диоксид циркония, многослойный диоксид циркония, дисиликат лития и ПММА. Это также расширило вариативность решения множества технологических и эстетических сложностей в протезировании.
Несмотря на широкое распространение цифровых технологий в протезировании, не следует чрезмерно полагаться на компьютер и слишком упрощать планирование протезирования. Подбор абатментов все же должен быть основан на клинических показаниях. Сосредоточимся на абатментах, изготавливаемых на основе библиотек stl, которые позволяют максимально точно подогнать финальную конструкцию.
Цели:
Оценить и проанализировать глубину интерфейса имплантата и распознать клинический сценарий до этапа протезирования.
Признать важность профиля прилегания предлагаемой реставрации на имплантатах и ее влияние на окружающие твердые и мягкие ткани, влияющие на стабильность и поддержку этих тканей, обеспечиваемые реставрацией.
Научиться выбирать подходящий реставрационный абатмент, отвечающий вышеуказанным требованиям.
Прогнозировать биологические и технические осложнения, которые могут возникнуть при выборе неправильной длины, диаметра или ретенционного компонента абатмента.
Одиночная имплантация. Клинический пример
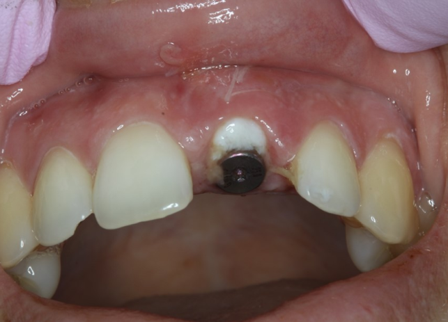
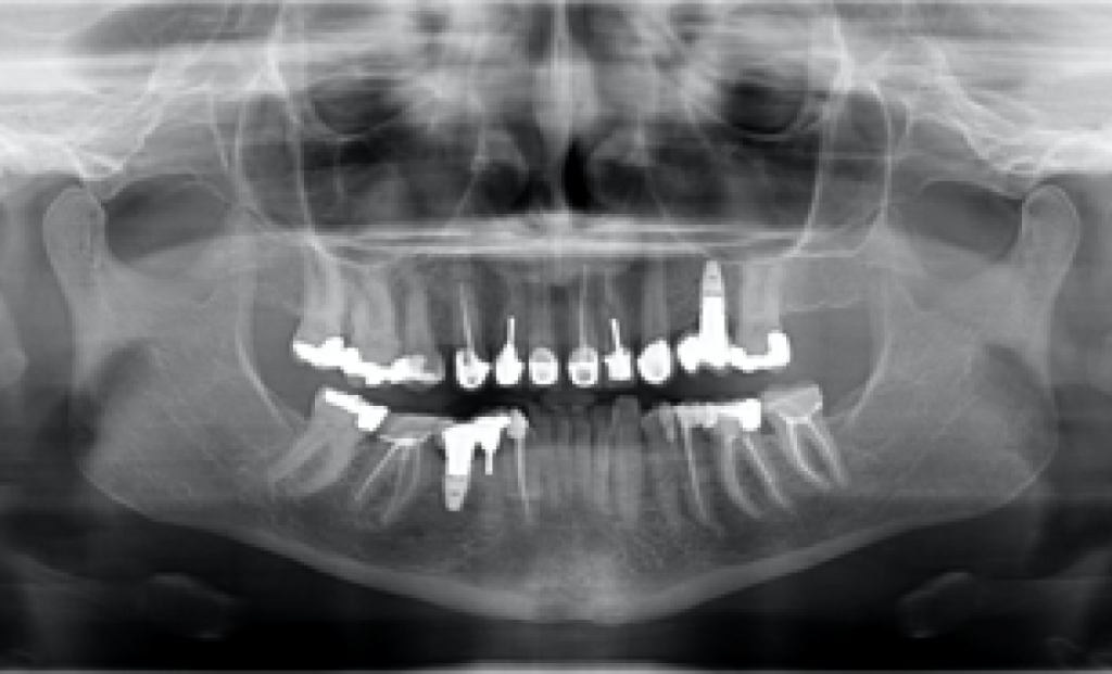
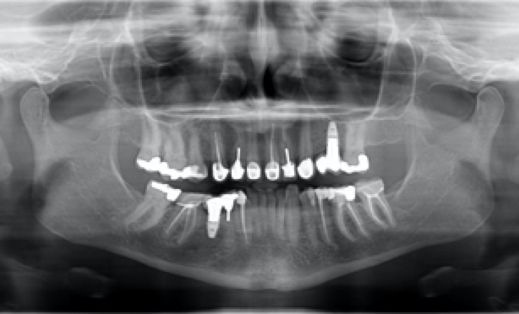
Выбор одинарного абатмента был упрощен благодаря семейству ti-base, принятому большинством производителей имплантатов. Эти абатменты имеют ретенционную часть, к которой экстраорально прикрепляются изготовленные в лаборатории протезы. Абатменты бывают разного диаметра и высоты десневой манжеты. Выбор правильной высоты и диаметра должен осуществляться клинически. Проблема стандартизации этой очень простой процедуры иллюстрируется рентгеновским изображением на рис. 1.
Этот пациент обратился ко мне с жалобами на сильную боль, покраснение и отек вокруг только что установленной коронки на имплантате. В анамнезе было следующее: был снят аналоговый оттиск с уровня имплантата и отправлен в лабораторию для изготовления коронки. У лаборанта не было указаний относительно расположения шейки имплантата по отношению к мягким тканям и кости.
Была выбрана самая короткая высота десневой манжеты (GH), так как она является наиболее безопасной с эстетической точки зрения, поскольку металлическая кромка не будет видна над десной. При доставке коронки на имплантат стоматолог столкнулся с трудностями при «посадке» коронки на абатмент.
Коронка была установлена со значительным сопротивлением для достижения необходимого значения торка. Ущемление твердых и мягких тканей из-за очень острого профиля выступа вызывает давление на кость, что приводит к некрозу и, в конечном итоге, к потере маргинальной кости в этой области. Чтобы избежать подобных осложнений, необходимо выбирать правильный абатмент.
На основе ОПТГ, сделанного после установки или имплантата (рис. 2), стоматолог может выбрать подходящую высоту десневой манжеты для абатмента и направить техника, предоставив рентгеновский снимок и/или спецификацию формирователя десны. Большинство систем имплантатов имеют синхронизированные формы и контуры хирургических абатментов и компонентов протеза.
Галерея КС

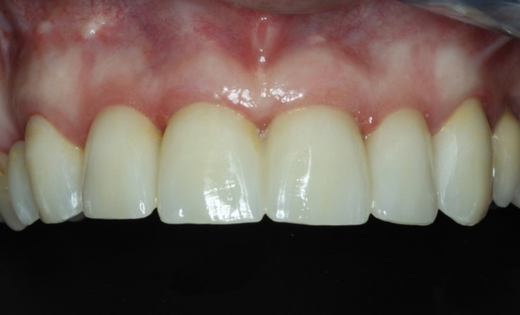
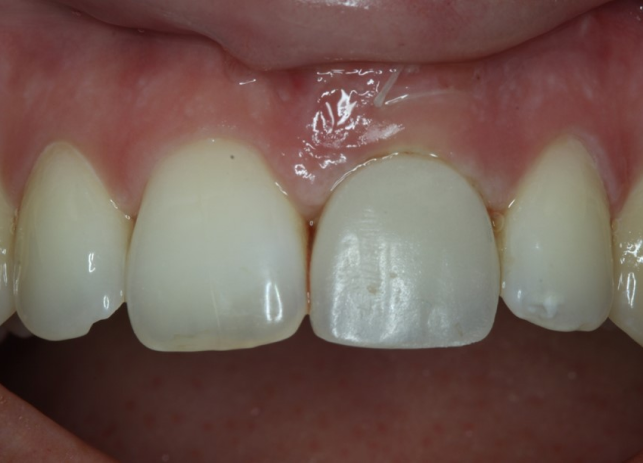
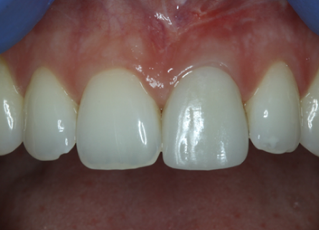
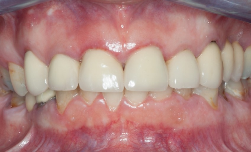
Рис. 9 и 10 после начального заживления временная коронка была адаптирована с помощью композита для тренировки и формирования мягких тканей, аналогично прилегающему правому центральному резцу. Нашей целью также было добиться одинаковой длины 11 и 21 зубов или выровнять высоту десны

Рис. 15 Работа с уровня имплантата с имплантатами с внутренним соединением осложняется отсутствием параллельности соседних зубов
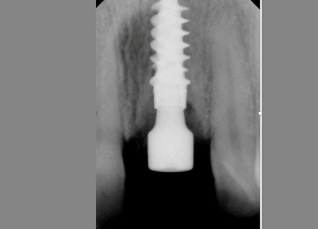
Множественные имплантаты редко располагаются параллельно, что затрудняет использование супраструктуры для имплантатов, установленных на уровне кости. Обычно абатменты размещаются ниже уровня мягких тканей, к ним трудно получить доступ. Существуют винтовые и мостовидные абатменты, которые можно использовать на уровне имплантата, но их использование может способствовать смещению костного гребня и потере кости.
При множественной имплантации рекомендуется выбирать абатменты со следующи ми свойствами:
- Легкий доступ к абатменту, простота ортопедического протокола
- Винтовая или гибритдная цементно-винтовая фиксация
- Исправление проблем соосности при помощи угловых абатментов
Абатменты должны быть выбраны до того, как будут сделаны оттиски или внутриротовое сканирование для изготовления окончательного протеза. Соединять абатменты на слепке, сделанном с уровня имплантата и только потом изготавливать протез неправильно. Большинство систем имплантатов имеют абатменты, разработанные с учетом вышеперечисленных преимуществ, в основном известные как абатменты с несколькими базами, абатменты с несколькими единицами, трансформируемые абатменты, абатменты с винтовой фиксацией, конические абатменты, универсальные абатменты и другие.
Клинический пример: пациент сломал левый центральный резец и решил удалить все четыре передних зуба и заменить их коронками с опорой на имплантаты.

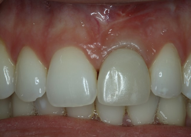
Рис. 23 Итоговый результат лечения с установленным мостовидным протезом 12-22 на имплантатах. Обратите внимание на естественный профиль ткани после извлечения 12, 11, 21 и 21






















