Описание кейса:
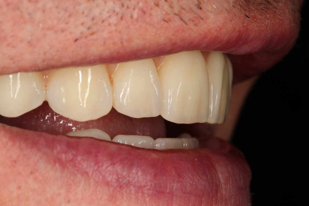
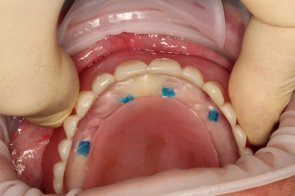
У пациента полностью отсутствуют зубы на верхней и нижней челюсти. На время изготовления постоянной конструкции пациент носил съемный армированный протез. Через окно модифицированного шаблона были установлены точки введения имплантов с учетом топографической анатомии, после чего проведена имплантация с фиксацией мультиюнит абатментов. После имплантации проведена немедленная нагрузка армированной конструкцией из ПСПП пациента. Через 2 месяца было проведено определение ЦС, высоты нижней трети лица и фонетические пробы, после чего была зафиксирована несъемная конструкция на титановые анодированные балки с позиции мультиюнит абатментов.

