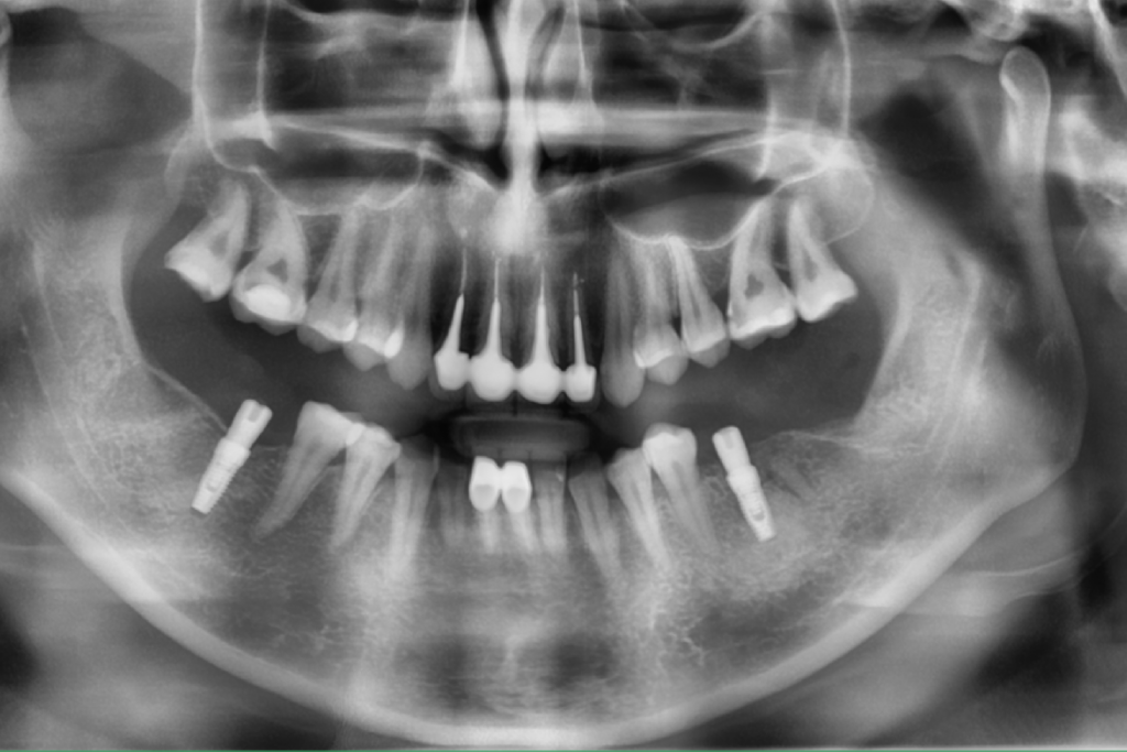
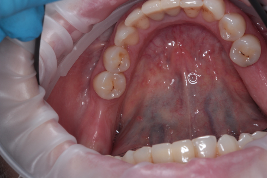
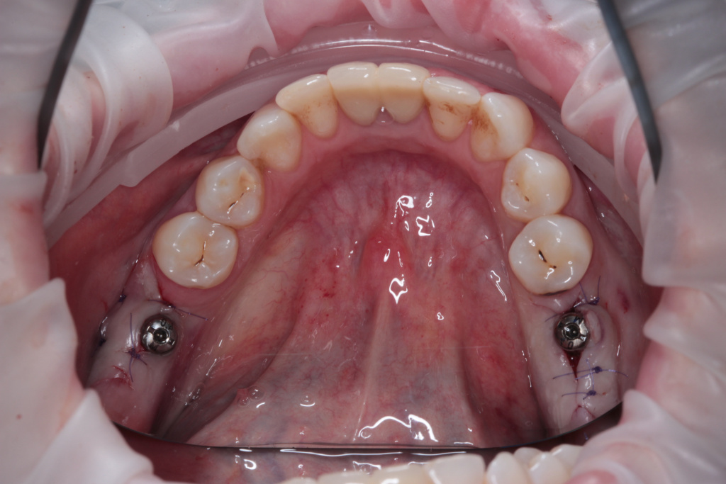
Описание клинического случая:
- Атравматичное удаление
- Пластика десны
- Использование костной ловушки BonePen для сбора костной стружки
- Использование фибринового сгустка APRF
- Имплантация IMPRO
- Ушивание раны
Клинический случай Узденовой Зульфы Альбертовны


