Описание кейса:
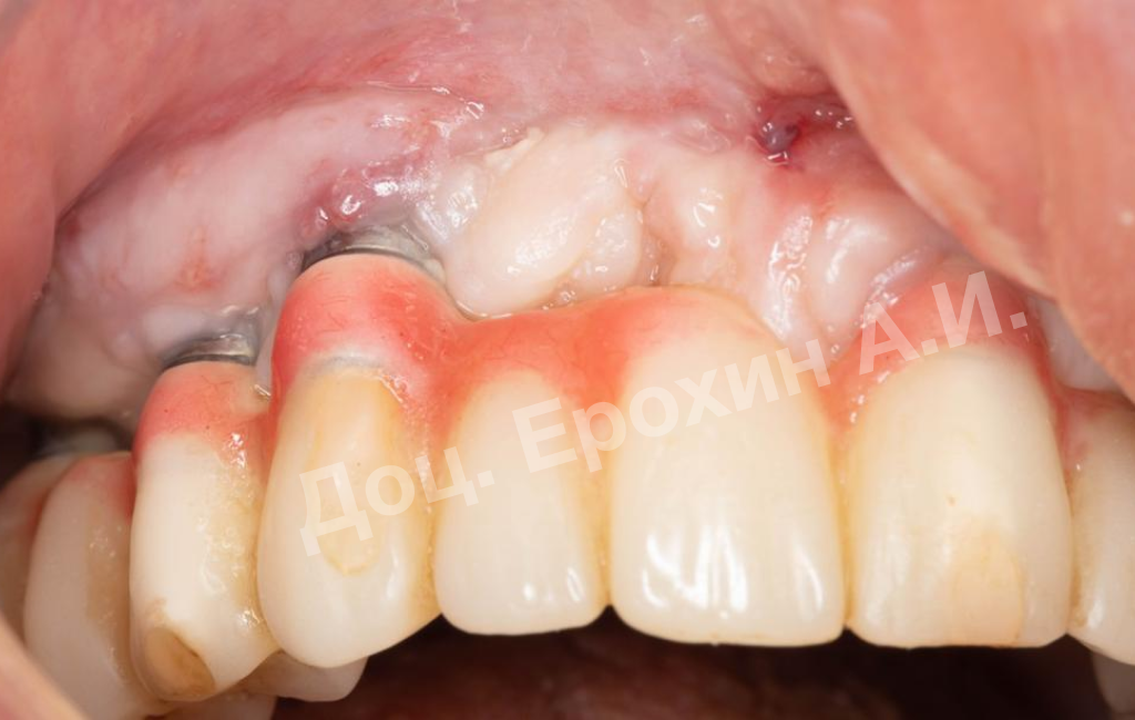
Более 10 лет назад пациентке была проведена тотальная имплантация с полным протезированием. В области имплантатов 22–24 была проведена пересадка эпителиального трансплантата с целью создания зоны кератизированной прикрепленной десны. После проведения данной операции пациентка по личным причинам не захотела заниматься мягкими тканями и пропала на 10 лет.
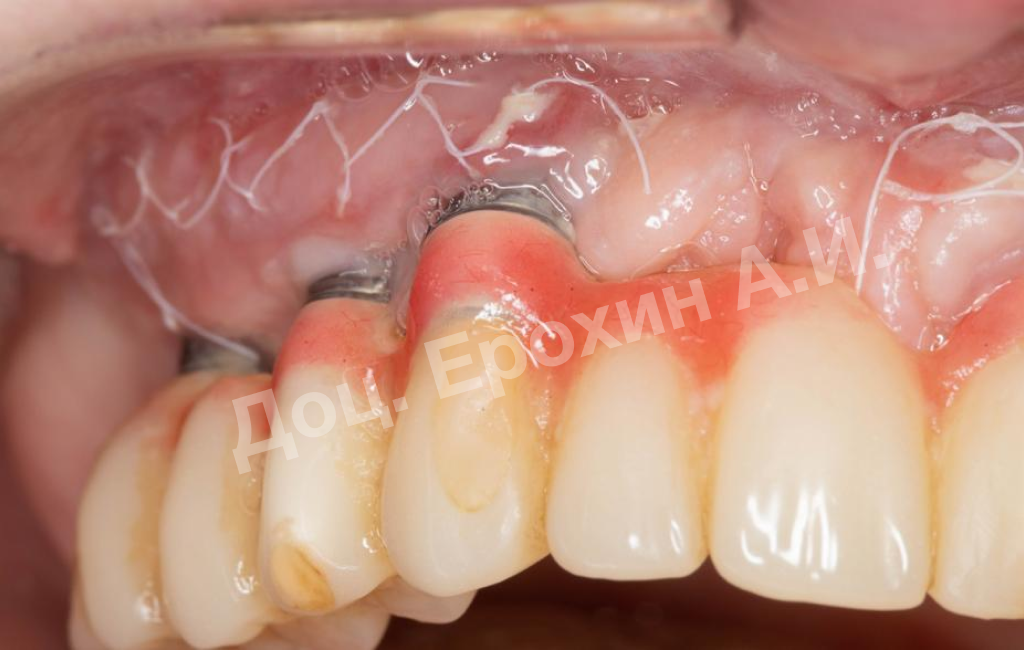
В результате, спустя 10 лет мы видим, что единственная часть десны в области имплантации, не затронутая рецессиями, — это зона, где была проведена трансплантация десневого фрагмента. С целью стабилизации имеющихся имплантатов на повторном приеме была проведена вестибулопластика по Кларку с фиксацией мягкотканных мукотомов, фрагментов эпителия с неба, зафиксированных швами.
В данном клиническом случае мы можем наблюдать эффект так называемого наползающего прикрепления (creeping attachment), когда десна после удаления момента натяжения начинает сама наплывать на ранее оголенные корни зубов и имплантаты.
Кейс доцента Ерохина Алексея Ивановича
На фото видно, что в первом сегменте с 2.5-3 мм оголение корня осталось меньше 1 мм, в области имплантата 21 рецессия самоустранилась, а в области имплантата 26 рецессия до операции была 4.5 мм, а после сократилась до 2 мм.

