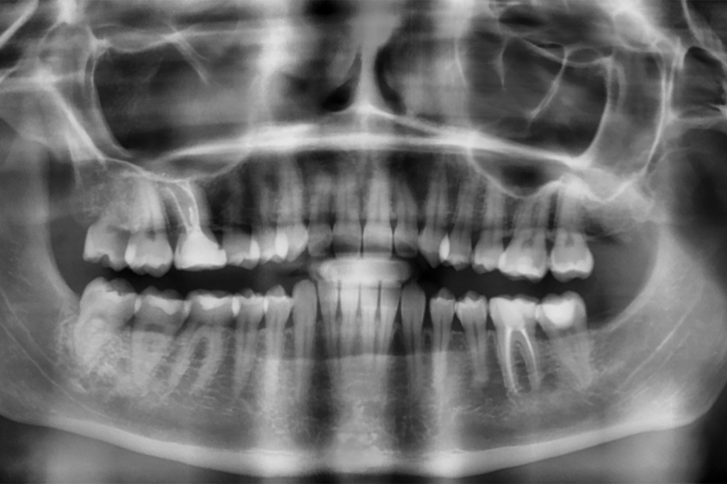
Описание клинического случая:
-
Удаление зуба 3.6
-
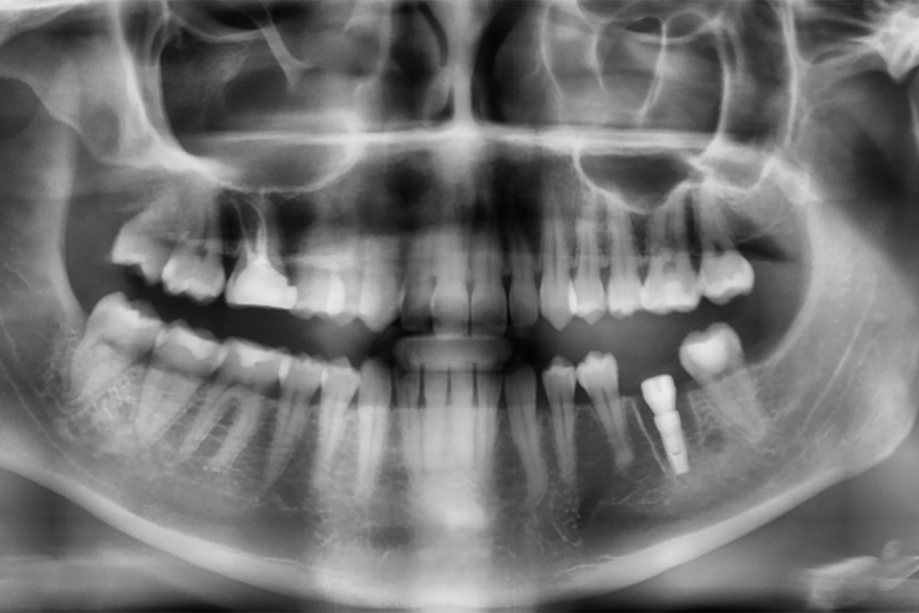
Одномоментная установка дентального имплантата, система Impro
-
A-PRF
-
Одноэтапная установка формирователя десны
-
Шовный материал Glycolon 5.0
Удаление зуба 3.6
Одномоментная установка дентального имплантата, система Impro
A-PRF
Одноэтапная установка формирователя десны
Шовный материал Glycolon 5.0

