Вконтакте Вконтакте
YouTube YouTube
8 (800) 500-22-04
Заказать звонок
Кабинет дилера
Торговый Дом Дентал Гуру
Торговый Дом Дентал Гуру
О компании
  • Новости
  • Вакансии
  • Отзывы
  • Сотрудничество
  • Производители
Акции
Продукция
  • Видео-каталог
  • Имплантационные системы
  • Инструменты и материалы
  • Все для костной пластики
  • Все для PRF
  • Шовные материалы
  • Оборудование
  • Боры
Отзывы
Прайсы
  • Прайс-листы и каталоги
  • Постеры
  • Листовки и брошюры
  • Инструкции
Сервис
  • Замена имплантатов
  • Инструкции
  • Ремонт и сервисное обслуживание
  • Банки имплантатов
  • ЧаВо (Частые вопросы)
  • Планы лечения
  • Руководство по синус-лифтингу
Мероприятия
  • Курсы и вебинары для стоматологов
  • Виртуальная Академия
  • Конгрессы и выставки
  • Публикации
Блог
Контакты
Ещё
    Вконтакте Вконтакте
    YouTube YouTube
    Торговый Дом Дентал Гуру
    Торговый Дом Дентал Гуру
    О компании
    • Новости
    • Вакансии
    • Отзывы
    • Сотрудничество
    • Производители
    Акции
    Продукция
    • Видео-каталог
    • Имплантационные системы
    • Инструменты и материалы
    • Все для костной пластики
    • Все для PRF
    • Шовные материалы
    • Оборудование
    • Боры
    Отзывы
    Прайсы
    • Прайс-листы и каталоги
    • Постеры
    • Листовки и брошюры
    • Инструкции
    Сервис
    • Замена имплантатов
    • Инструкции
    • Ремонт и сервисное обслуживание
    • Банки имплантатов
    • ЧаВо (Частые вопросы)
    • Планы лечения
    • Руководство по синус-лифтингу
    Мероприятия
    • Курсы и вебинары для стоматологов
    • Виртуальная Академия
    • Конгрессы и выставки
    • Публикации
    Блог
    Контакты
    Ещё
      Торговый Дом Дентал Гуру
      • О компании
        • Назад
        • О компании
        • Новости
        • Вакансии
        • Отзывы
        • Сотрудничество
        • Производители
      • Акции
      • Продукция
        • Назад
        • Продукция
        • Видео-каталог
        • Имплантационные системы
        • Инструменты и материалы
        • Все для костной пластики
        • Все для PRF
        • Шовные материалы
        • Оборудование
        • Боры
      • Отзывы
      • Прайсы
        • Назад
        • Прайсы
        • Прайс-листы и каталоги
        • Постеры
        • Листовки и брошюры
        • Инструкции
      • Сервис
        • Назад
        • Сервис
        • Замена имплантатов
        • Инструкции
        • Ремонт и сервисное обслуживание
        • Банки имплантатов
        • ЧаВо (Частые вопросы)
        • Планы лечения
        • Руководство по синус-лифтингу
      • Мероприятия
        • Назад
        • Мероприятия
        • Курсы и вебинары для стоматологов
        • Виртуальная Академия
        • Конгрессы и выставки
        • Публикации
      • Блог
      • Контакты
      Вконтакте Вконтакте
      YouTube YouTube

      Комплексная тотальная реабилитация с опорой на зубы и дентальные имплантаты

      • Главная
      • Блог
      • Клинические случаи
      • Комплексная тотальная реабилитация с опорой на зубы и дентальные имплантаты
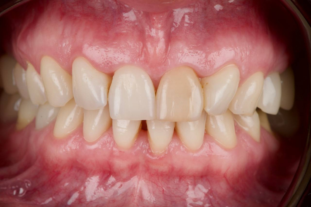
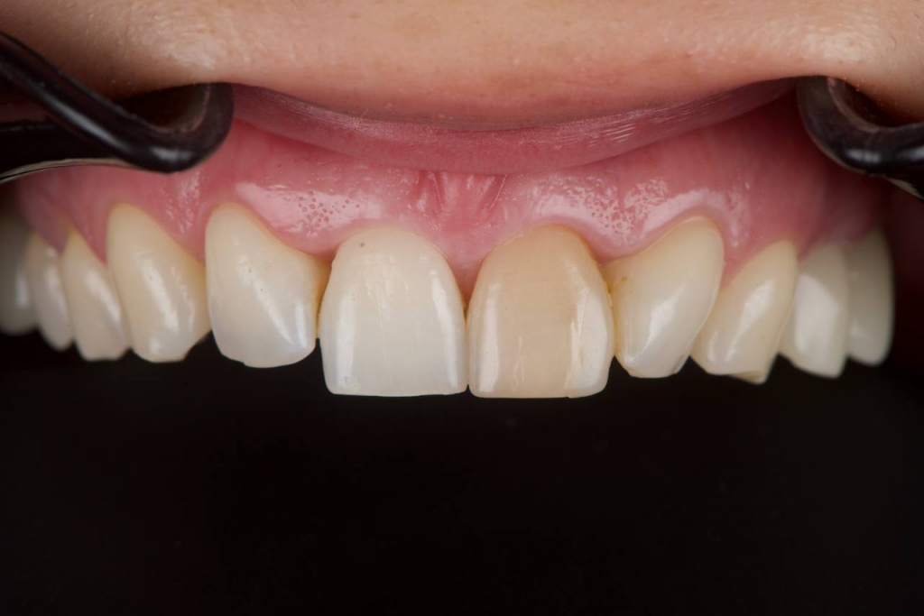
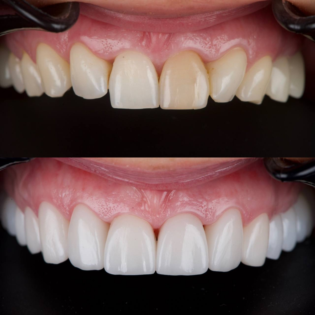
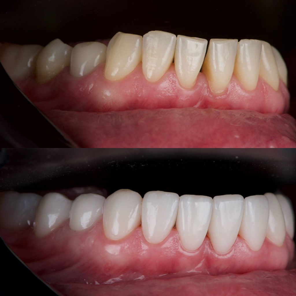
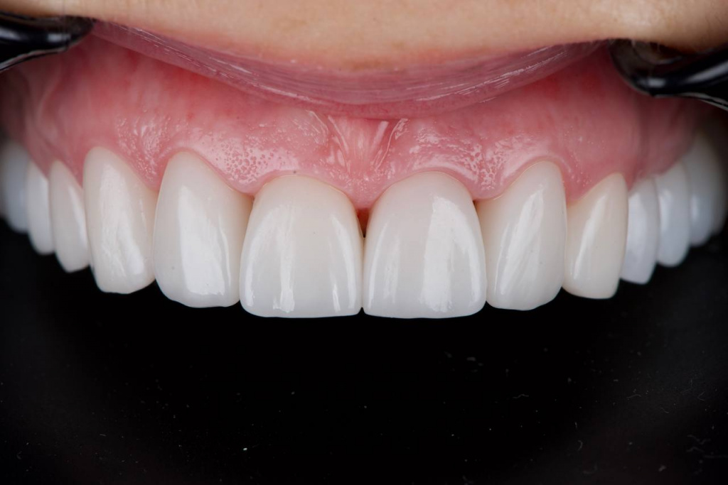
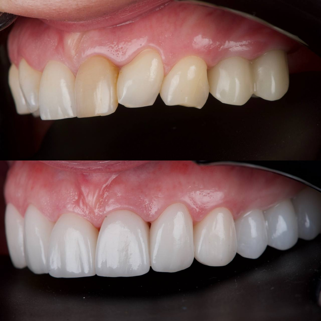
      Комплексная тотальная реабилитация с опорой на зубы и дентальные имплантаты
      Комплексная тотальная реабилитация с опорой на зубы и дентальные имплантаты.
      Имплантаты Impro и один Anyridge, мультиюниты Xgate.

      Врач: Семерков Дмитрий Юрьевич

      5352694613338612573.jpg 5352694613338612576.jpg 5352694613338612579.jpg 5352694613338612582.jpg  5352694613338612584.jpg 5352694613338612585.jpg 
      5352694613338612586.jpg 5352694613338612588.jpg 5352694613338612589.jpg 5352694613338612590.jpg 5352694613338612591.jpg 5352694613338612595 (1).jpg 5352694613338612596 (1).jpg 5352694613338612597.jpg 5352694613338612598.jpg 
      5352694613338612600.jpg 5352694613338612603.jpg 5352694613338612605.jpg 
      5352694613338612606.jpg 5352694613338612609.jpg 5352694613338612610.jpg
      5352694613338612613.jpg

      Поделиться
      Все статьи
      • Комментарии
      Загрузка комментариев...
      Категории
      • Видео5
      • Клинические случаи18
      • Научные статьи5
      • Обзоры2
      • Профессиональные конкурсы1
      • Архив22
      Популярные
      • Имплантация UI 3,6*10
        Имплантация UI 3,6*10
        28 октября 2024
      • Имплантация IMPRO RESPECT
        Имплантация IMPRO RESPECT
        13 сентября 2024
      • Имплантация IMPRO RESPECT
        Имплантация IMPRO RESPECT
        3 сентября 2024
      • Имплантация Impro Light
        Имплантация Impro Light
      • Имплантаты импро респект
        Имплантаты импро респект
      • Открытый синус-лифтинг на губке и винте
        Открытый синус-лифтинг на губке и винте
      • Реплантация Impro Respect
        Реплантация Impro Respect
      • Одномоментная имплантация IMPRO с немедленной нагрузкой
        Одномоментная имплантация IMPRO с немедленной нагрузкой
      • Одномоментная установка дентальных имплантатов Impro с фиксацией фрезерованных временных коронок
        Одномоментная установка дентальных имплантатов Impro с фиксацией фрезерованных временных коронок
      • Одномоментная установка дентального имплантата Impro
        Одномоментная установка дентального имплантата Impro
      • Установка дентального имплантат Impro одноэтапно с формирователем десны
        Установка дентального имплантат Impro одноэтапно с формирователем десны
      • Одномоментная имплантация с изготовлением индивидуального заживляющего абатмента. Цифровой протокол
        Одномоментная имплантация с изготовлением индивидуального заживляющего абатмента. Цифровой протокол
      • Одномоментная имплантация Impro с установкой временного абатмента
        Одномоментная имплантация Impro с установкой временного абатмента
      • НКР с использованием костного заменителя и мембраны
        НКР с использованием костного заменителя и мембраны
      • Бимаксилярная тотальная реабилитация с помощью ануглированных дентальных имплантов при полном отсутствии зубов
        Бимаксилярная тотальная реабилитация с помощью ануглированных дентальных имплантов при полном отсутствии зубов
      • Фрактура и костная резорбция 34 зуба. Обработка дефекта и имплантата
        Фрактура и костная резорбция 34 зуба. Обработка дефекта и имплантата
      • Стабилизация имплантатов через 10 лет
        Стабилизация имплантатов через 10 лет
      Компания
      Новости
      Вакансии
      Отзывы
      Сотрудничество
      Производители
      Продукты
      Видео-каталог
      Имплантационные системы
      Инструменты и материалы
      Все для костной пластики
      Все для PRF
      Шовные материалы
      Оборудование
      Боры
      Услуги
      Замена имплантатов
      Инструкции
      Ремонт и сервисное обслуживание
      Банки имплантатов
      ЧаВо (Частые вопросы)
      Планы лечения
      Руководство по синус-лифтингу
      Блог
      Видео
      Публикации
      Обзоры
      Оферта
      Наши контакты


      +7 (495) 627-63-70
      info@tdentalgu.ru
      129090 г. Москва Ботанический пер. д. 7 помещение 1/3
      ООО "Стомтрейд"
      © 2026 Все права защищены.

      Пользовательское соглашение и условия Политики конфиденциальности