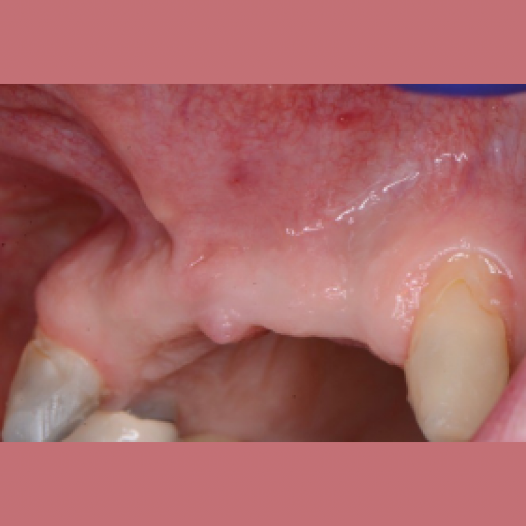
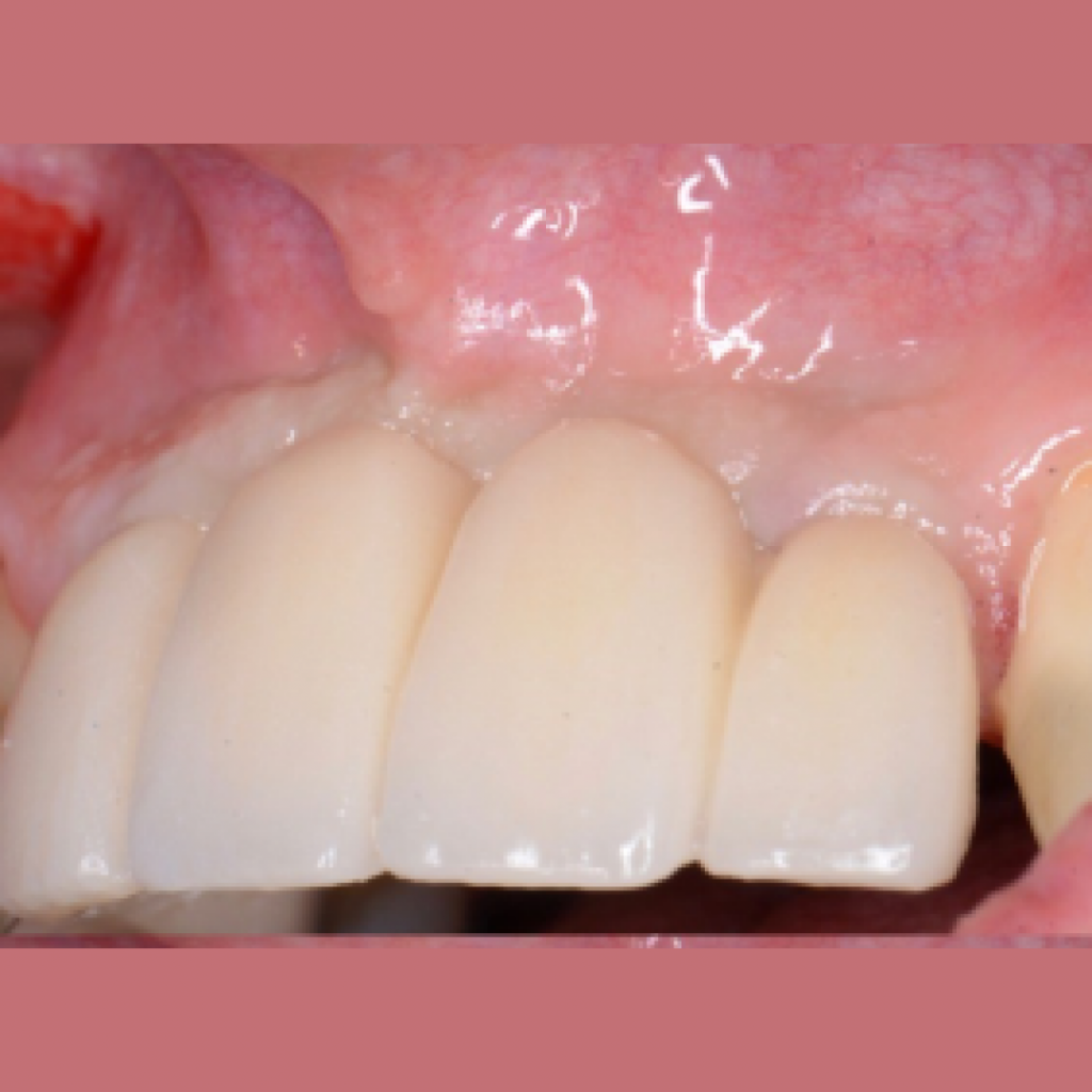
Имплантация AnyOne в узкий гребень. Восстановление зубов 11,12,21,22 на двух имплантатах.
Кейс: Peter Fairbairn
Имплантация AnyOne в узкий гребень. Восстановление зубов 11,12,21,22 на двух имплантатах.
Кейс: Peter Fairbairn

