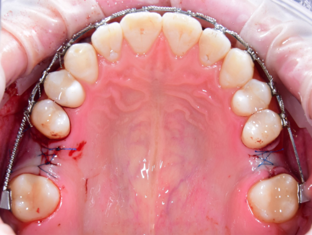
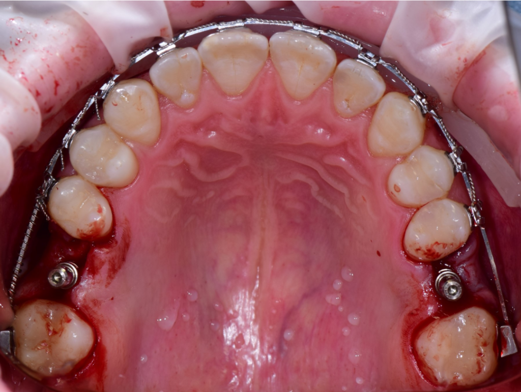
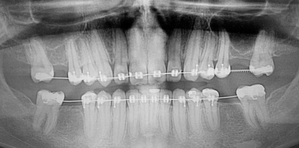
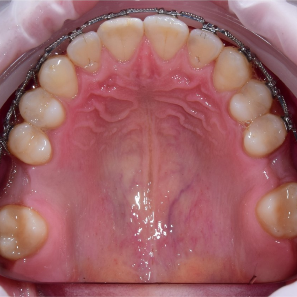
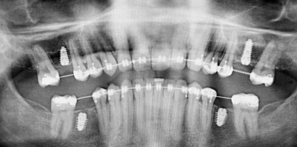
По результатам диагностики принято решение провести синус-лифтинг с помощью боров SinPro. В ходе вмешательства установлены имплантаты AnyRidge и AnyOne с первичной стабилизацией 40 Ncm.
Митюшин Артем Анатольевич: клинический стоматолог-хирург, практикующий имплантолог. Опиньон-лидер имплантационных систем IMPRO и MEGAGEN

