Каленкович Юрий Владимирович: хирург-имплантолог. Специализируется на имплантации зубов по методике All-on-4/6 и синус лифтинге.
Описание клинического случая:
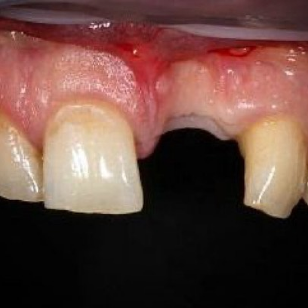
- Пациент Н. обратился с эстетическим и функциональным дефектом во фронтальной области верхней челюсти - отсутствует левый центральный резец, зуб 2.1
- Из анамнеза: в виду долгого ношения съемного протеза «бабочка», отмечается значительная атрофия костной ткани с вестибулярной стороны (со стороны верхней губы), соответственно, десневой контур также нарушен.
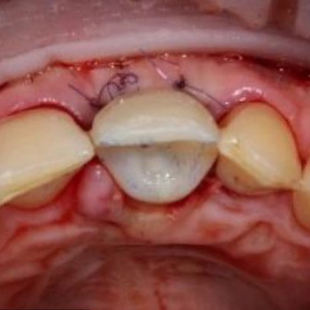
- Лечение: проведена дентальная имплантация AnyRidge в области зуба 2.1 с пластикой десны, а также установлена временная коронка.

