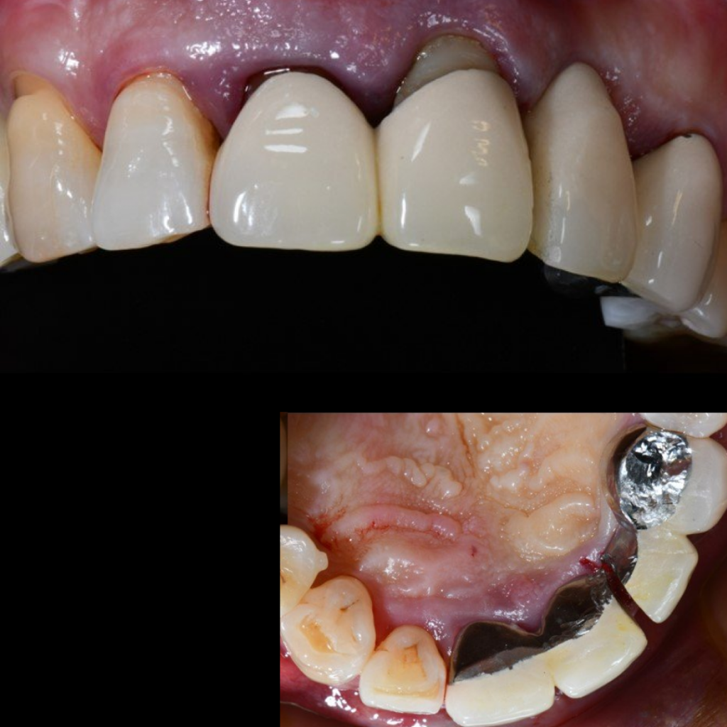
Краткое описание кейса:
- Удаление несъемного мостовидного протеза по причине подвижности во фронтальной области верхней челюсти с диагнозом "Хронический генерализованный парадонтит и множественный кариес"
- Проведение имплантации AnyRidge с немедленной нагрузкой
- Заполнение костных дефектов смесью из костного материала TI-oss, аутокости пациента и обогащенной тромбоцитами плазмой PRP
- Установка абатментов для временного протеза
- Покрытие зоны аугментации коллагеновой мембраной
- Фиксация временного мостовидного протеза
Благодаря уникальному дизайну имплантатов AnyRidge становится возможным получить блестящую первичную стабильность даже при наличии объемных костных дефектов, что позволяет в большинстве случае дать немедленную нагрузку на имплантаты и зафиксировать временный мостовидный протез
в эстетически значимой зоне в день операции.

