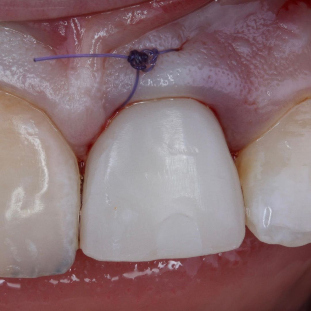
Краткое описание кейса:
Имплантация AnyRidge с немедленной нагрузкой
Этапы лечения:
- Сканирование полости рта интраоральным сканером Medit I500
- Имплантация AnyRidge (торк 45 н/см, ISQ 79)
- Моделирование коронки
- Создание временной отфрезерованной коронки из PMMA
- Время операции с учётом фрезерования и фиксации - 2 часа

