Вконтакте Вконтакте
YouTube YouTube
8 (800) 500-22-04
Заказать звонок
Кабинет дилера
Торговый Дом Дентал Гуру
Торговый Дом Дентал Гуру
О компании
  • Новости
  • Вакансии
  • Отзывы
  • Сотрудничество
  • Производители
Акции
Продукция
  • Видео-каталог
  • Имплантационные системы
  • Инструменты и материалы
  • Все для костной пластики
  • Все для PRF
  • Шовные материалы
  • Оборудование
  • Боры
Отзывы
Прайсы
  • Прайс-листы и каталоги
  • Постеры
  • Листовки и брошюры
  • Инструкции
Сервис
  • Замена имплантатов
  • Инструкции
  • Ремонт и сервисное обслуживание
  • Банки имплантатов
  • ЧаВо (Частые вопросы)
  • Планы лечения
  • Руководство по синус-лифтингу
Мероприятия
  • Курсы и вебинары для стоматологов
  • Виртуальная Академия
  • Конгрессы и выставки
  • Публикации
Блог
Контакты
Ещё
    Вконтакте Вконтакте
    YouTube YouTube
    Торговый Дом Дентал Гуру
    Торговый Дом Дентал Гуру
    О компании
    • Новости
    • Вакансии
    • Отзывы
    • Сотрудничество
    • Производители
    Акции
    Продукция
    • Видео-каталог
    • Имплантационные системы
    • Инструменты и материалы
    • Все для костной пластики
    • Все для PRF
    • Шовные материалы
    • Оборудование
    • Боры
    Отзывы
    Прайсы
    • Прайс-листы и каталоги
    • Постеры
    • Листовки и брошюры
    • Инструкции
    Сервис
    • Замена имплантатов
    • Инструкции
    • Ремонт и сервисное обслуживание
    • Банки имплантатов
    • ЧаВо (Частые вопросы)
    • Планы лечения
    • Руководство по синус-лифтингу
    Мероприятия
    • Курсы и вебинары для стоматологов
    • Виртуальная Академия
    • Конгрессы и выставки
    • Публикации
    Блог
    Контакты
    Ещё
      Торговый Дом Дентал Гуру
      • О компании
        • Назад
        • О компании
        • Новости
        • Вакансии
        • Отзывы
        • Сотрудничество
        • Производители
      • Акции
      • Продукция
        • Назад
        • Продукция
        • Видео-каталог
        • Имплантационные системы
        • Инструменты и материалы
        • Все для костной пластики
        • Все для PRF
        • Шовные материалы
        • Оборудование
        • Боры
      • Отзывы
      • Прайсы
        • Назад
        • Прайсы
        • Прайс-листы и каталоги
        • Постеры
        • Листовки и брошюры
        • Инструкции
      • Сервис
        • Назад
        • Сервис
        • Замена имплантатов
        • Инструкции
        • Ремонт и сервисное обслуживание
        • Банки имплантатов
        • ЧаВо (Частые вопросы)
        • Планы лечения
        • Руководство по синус-лифтингу
      • Мероприятия
        • Назад
        • Мероприятия
        • Курсы и вебинары для стоматологов
        • Виртуальная Академия
        • Конгрессы и выставки
        • Публикации
      • Блог
      • Контакты
      Вконтакте Вконтакте
      YouTube YouTube

      Имплантация AnyRidge с последующим протезированием

      • Главная
      • Блог
      • Архив
      • Имплантация AnyRidge с последующим протезированием

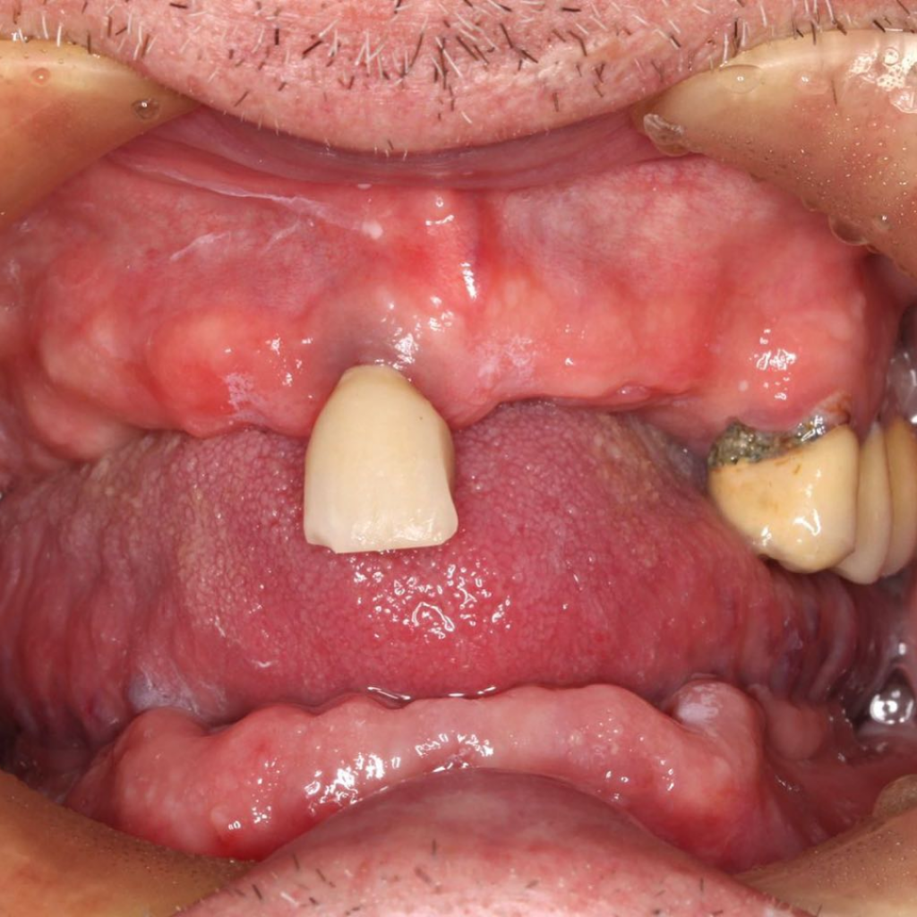
      Описание клинического случая:

      • Удаление разрушенных зубов
      • Установка 12 имплантатов AnyRidge
      • Сканировние
      • Моделировка
      • Фрезерование временных протезов и их фиксация
      • Установка постоянного протезирования спустя 3 месяца после имплантации
      Кейс @praktik.dental

      1.png
      2.png

      4.png
      6.png

      5.png
      6.png

      5.png
      6.png


      Поделиться
      Все статьи
      • Комментарии
      Загрузка комментариев...
      Категории
      • Видео5
      • Клинические случаи18
      • Научные статьи5
      • Обзоры2
      • Профессиональные конкурсы1
      • Архив22
      Популярные
      • Имплантация AnyRidge зуба 2.1 с пластикой десны
        Имплантация AnyRidge зуба 2.1 с пластикой десны
      • Имплантация AnyRidge с заполнением пространства между блоками аутостружкой
        Имплантация AnyRidge с заполнением пространства между блоками аутостружкой
      • Одномоментная  имплантация AnyRidge с диагнозом "Хронический  генерализованный парадонтит  и множественный кариес"
        Одномоментная имплантация AnyRidge с диагнозом "Хронический генерализованный парадонтит и множественный кариес"
      • Имплантация AnyOne в узкий гребень. Восстановление зубов 11,12,21,22 на двух имплантатах
        Имплантация AnyOne в узкий гребень. Восстановление зубов 11,12,21,22 на двух имплантатах
      • Имплантация AnyRidge с двусторонним закрытым синус-лифтингом
        Имплантация AnyRidge с двусторонним закрытым синус-лифтингом
      • Одномоментная имплантация AnyRidge во фронтальном отделе
        Одномоментная имплантация AnyRidge во фронтальном отделе
      • Имплантация AnyRidge c использованием ксенотрансплантата и аллотрансплантата
        Имплантация AnyRidge c использованием ксенотрансплантата и аллотрансплантата
      • Одномоментная имплантацией AnyRidge
        Одномоментная имплантацией AnyRidge
      • Установка имплантатов AnyRidge через хирургический шаблон R2gate
        Установка имплантатов AnyRidge через хирургический шаблон R2gate
      • Имплантация AnyRidge с немедленной нагрузкой
        Имплантация AnyRidge с немедленной нагрузкой
      • Одномоментная имплантация AnyRidge с использованием имплантатов Ø8 мм. Кейс Громика Сергея
        Одномоментная имплантация AnyRidge с использованием имплантатов Ø8 мм. Кейс Громика Сергея
      • Закрытый синус-лифтинг с установкой имплантата AnyRidge в области 16 зуба. Кейс Армена Калантаряна
        Закрытый синус-лифтинг с установкой имплантата AnyRidge в области 16 зуба. Кейс Армена Калантаряна
      • Одномоментная имплантация AnyRidge. Кейс доктора Овсепа Аршакяна.
        Одномоментная имплантация AnyRidge. Кейс доктора Овсепа Аршакяна.
      • Конструкция Все-на-4 на 4 имплантатах AnyOne
        Конструкция Все-на-4 на 4 имплантатах AnyOne
      • Одномоментная имплантация с немедленной нагрузкой на имплантате AnyRidge. Кейс Георгия Азниева
        Одномоментная имплантация с немедленной нагрузкой на имплантате AnyRidge. Кейс Георгия Азниева
      • Отсроченная имплантация в жевательном отделе при сахарном диабете. Кейс Артура Константинова
        Отсроченная имплантация в жевательном отделе при сахарном диабете. Кейс Артура Константинова
      • Отсроченная имплантация в жевательном отделе. Кейс Камиля Наильевича Хабиева
        Отсроченная имплантация в жевательном отделе. Кейс Камиля Наильевича Хабиева
      • Отсроченная имплантация AnyRidge и синус-лифтинг на этапе ортодонтического лечения. Кейс Артема Митюшина
        Отсроченная имплантация AnyRidge и синус-лифтинг на этапе ортодонтического лечения. Кейс Артема Митюшина
      • Имплантация AnyRidge и индивидуальные заживляющие абатменты
        Имплантация AnyRidge и индивидуальные заживляющие абатменты
      • Тотальная имплантация AnyOne
        Тотальная имплантация AnyOne
      Компания
      Новости
      Вакансии
      Отзывы
      Сотрудничество
      Производители
      Продукты
      Видео-каталог
      Имплантационные системы
      Инструменты и материалы
      Все для костной пластики
      Все для PRF
      Шовные материалы
      Оборудование
      Боры
      Услуги
      Замена имплантатов
      Инструкции
      Ремонт и сервисное обслуживание
      Банки имплантатов
      ЧаВо (Частые вопросы)
      Планы лечения
      Руководство по синус-лифтингу
      Блог
      Видео
      Публикации
      Обзоры
      Оферта
      Наши контакты


      +7 (495) 627-63-70
      info@tdentalgu.ru
      129090 г. Москва Ботанический пер. д. 7 помещение 1/3
      ООО "Стомтрейд"
      © 2026 Все права защищены.

      Пользовательское соглашение и условия Политики конфиденциальности