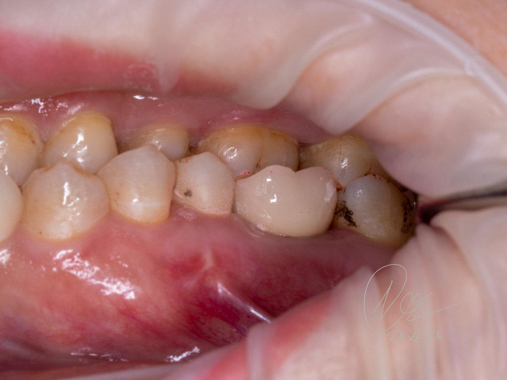
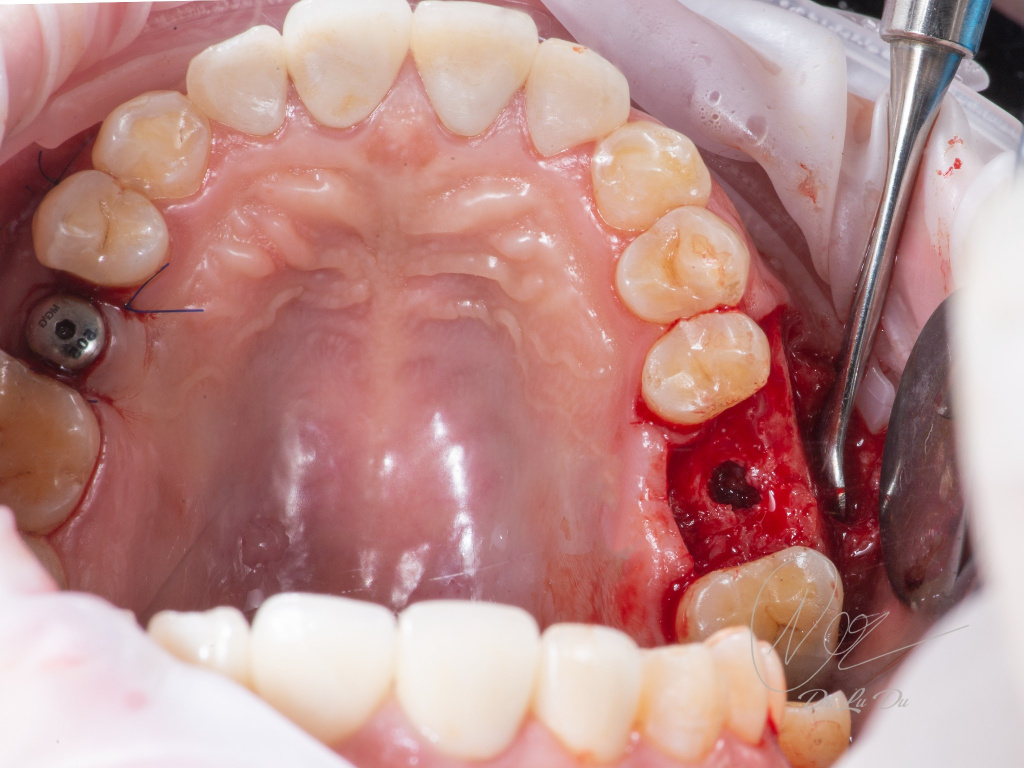
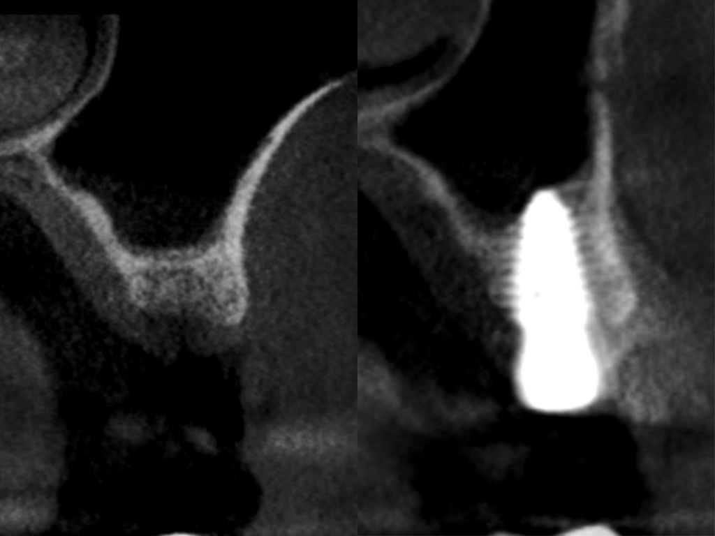
Имплантация AnyRidge с двусторонним закрытым синус-лифтингом.
Осложнения: правосторонний гайморит.
Кейс MINEC: Dr Lu Du
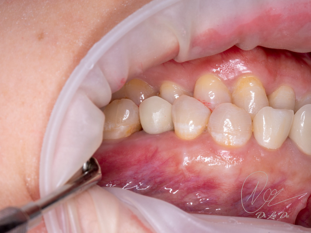
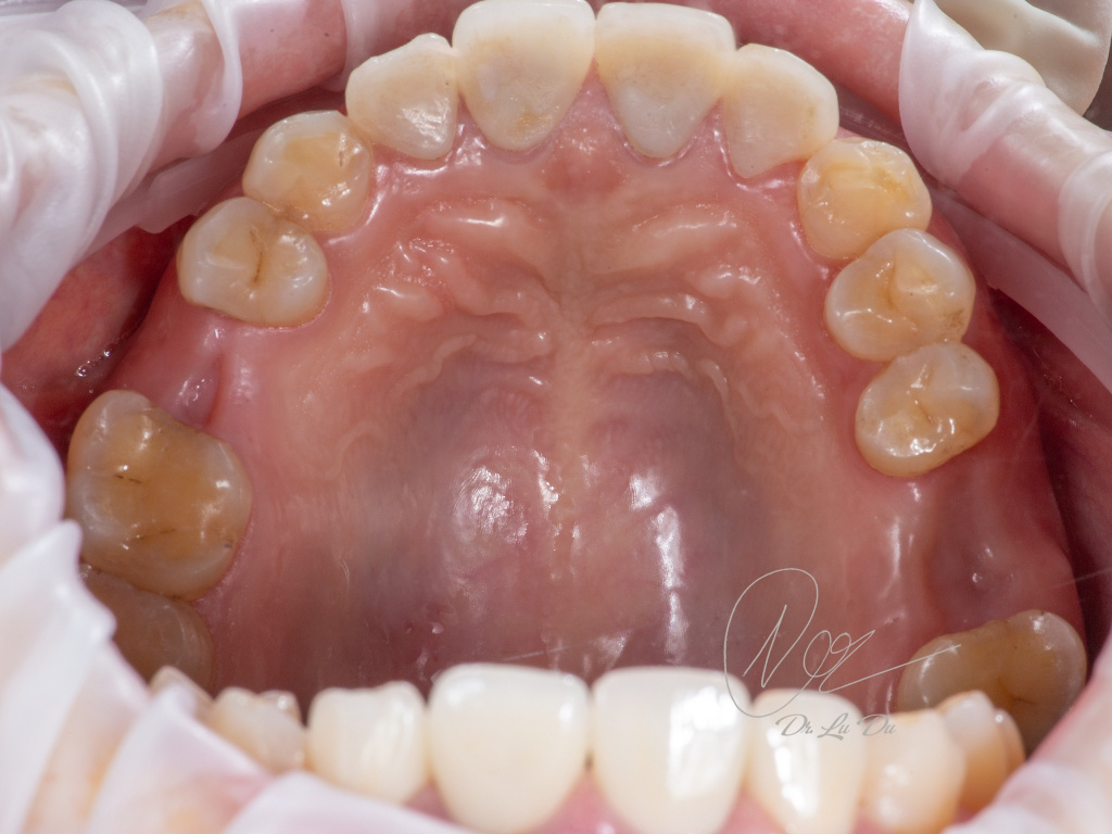
Имплантация AnyRidge с двусторонним закрытым синус-лифтингом.
Осложнения: правосторонний гайморит.
Кейс MINEC: Dr Lu Du

