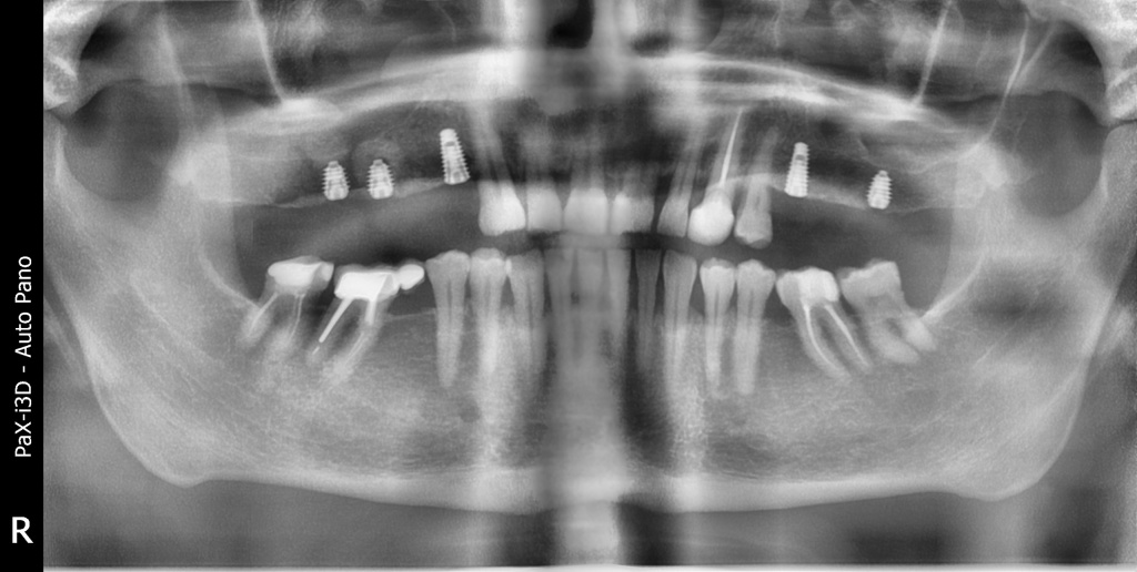
Краткое описание кейса:
Плановая имплантация в жевательном отделе перед тотальной реабилитацией с поднятием прикуса.
Осложнения: сахарный диабет
По результатам диагностики принято решение установить имплантаты AnyRidge и AnyOne с использованием хирургических шаблонов Bonepen 3D.

