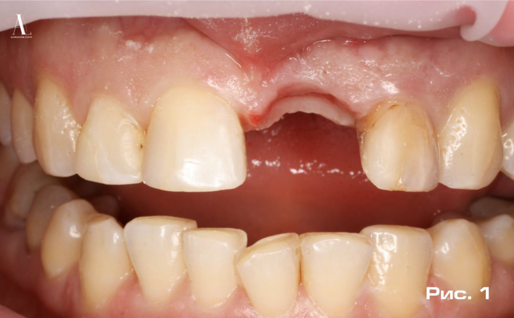
Пациентка М. (48 лет) в Октябре 2017 года обратилась в Самарский стоматологический центр «DAS-clinic» с жалобами на эстетический и функциональный дискомфорт, вызванный отсутствием зуба 2.1 (Рис.1).

При сборе анамнеза выяснилось, что зуб был удален за два месяца до обращения в клинику по причине осложнений, возникших в процессе эндодонтического лечения. Сопутствующие заболевания отсутствовали, противопоказаний к имплантологическому лечению не выявлено.
При анализе КЛКТ обнаружили костный дефект вестибулярной и небной стенок лунки 2.1 зуба. В вестибулярно-оральном направлении дефект являлся сквозным, причем вестибулярная пластинка была разрушена более чем на половину (Рис. 2).

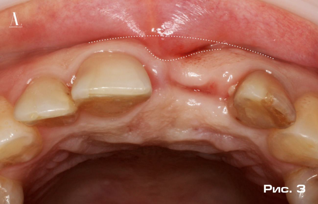
Отсутствие костной поддержки привело к образованию выраженного дефекта мягких тканей альвеолярного отростка (Рис. 3).

Учитывая сложность клинической задачи по достижению высоко-эстетичного и функционального результата, принципы применения малотравматичного подхода при лечении, необходимость использования временной реставрации для формирования контура прорезывания зуба, было принято решение о проведении хирургического вмешательства по протоколу навигационной имплантации - DDS с применением метода каркасной аугментации мягких тканей. (Lysov A, Safonov M. Digital Data Save (DDS). In: Minimally Invasive & More Efficient Implant Treatment with AnyRidge System by Kwang Bum Park, Yyung Jun Kim, Soheil Bechara and 20 Contributors. Narae Publishing, Inc. 2018.)
Суть метода заключается в следующем: после установки имплантата в зоне адентии, к нему фиксируется заранее изготовленный постоянный абатмент (Лысов А., Хабиев К. 2018), который служит опорой, как бы каркасом, для мягких тканей, формируя их дополнительный объем (Рис. 4). Применение данного подхода позволяет за одно хирургическое вмешательство достигать успешного результата лечения и является прекрасной альтернативой многоэтапным протоколам наращивания объема костной ткани.

С пациенткой согласовали следующий план лечения:
• установка дентального имплантат по цифровому хирургическому шаблону в строго запланированном положении;
• фиксация к только что установленному имплантату заранее изготовленного индивидуального постоянного абатмента;
• пластика мягких тканей с применением метода каркасной аугментации;
• фиксация заранее изготовленной временной реставрации;
• через три месяца изготовление постоянной коронки.
Подготовительный этап
С целью создания виртуальной модели пациентки, произвели объединение файлов полученных при сканировании гипсовых моделей (формат STL) и файлов полученных при КЛКТ (формат DICOM). В результате была создана цифровая анатомическая реконструкция костной и мягких тканей зоны оперативного вмешательства (Рис. 5).

С помощью программы R2GATE (Megagen) выполнили трехмерное позиционирование имплантата (Рис. 6).

На следующем этапе с виртуально-установленного имплантата получили виртуальный слепок, который в виде модели со скан-абатментом был направлен в цифровую зуботехническую лабораторию. Благодаря возможности установки имплантата в строго запланированном положении и возможности програмировать расположение его антиротационного элемента, в нашем случае шестигранника, в лаборатории с использованием технологии CAD/CAM был изготовлен индивидуальный постоянный абатмент и временная коронка для него. Параллельно с этим был создан проект хирургического направляющего шаблона, который распечатали с помощью 3D принтера. В результате подготовительных работ были получены следующие материал: имплантат AnyRidge (Megagen), диаметром 4.5 мм и длинной 13 мм, направляющий хирургический шаблон, индивидуальный постоянный абатмент (далее - одномоментный абатмент) и временную коронку.
Клинические этапы:
Под местной анестезией выполнили разрез по мягким тканям и сформировали вестибулярный и небный мукопериостальные лоскуты.
На рисунке 7 демонстрируется основная сложность данного клинического случая. Костный дефект достаточно выраженный, является сквозным, т.е. двухстеночным, но благодаря частичному сохранению костных пиков в области 1.1 и 2.2 зубов мы могли рассчитывать на успех лечения без применения многоэтапной костной пластики, а лишь с использованием каркасной аугментации мягких тканей.

С помощью направляющего шаблона, зафиксированного к зубам верхней челюсти (Рис. 8), выполнили подготовку ложа под имплантат и его установку (Рис. 9).

При установке имплантата использовался хирургический набор R2Kit, в состав которого входит имплантоввод со специальными метками, предназначенными для точного расположения имплантата и ориентации его антиротационного элемента в строго запланированном положении. Это достигается за счет совмещения меток имплантоввода со специальными локационными элементами направляющего шаблона (Рис. 10).

На рисунке 11 изображен имплантат, установленный в строго запланированном положении.

К только что установленному имплантату фиксируется заранее изготовленный индивидуальный постоянный абатмент с усилием 35 н/см (Рис. 12).

Важно отметить, что абатмент устанавливается один раз и больше никогда не извлекается из имплантата. Благодаря этому согласно экспериментальным (Abrahamson, Berglundh et al. - 1997), литературным (Tallarico M, Caneva M et al. - 2018) и клиническим (Linkevicius T et al. - 2010-2020) исследованиям удается исключить травмирование защитной мягкотканной буферной зоны на этапах протезирования, что в свою очередь предотвращает резорбцию костной ткани в области платформы дентального имплантата. Одномоментный абатмент, в качестве каркаса, способствует образованию избыточного объема мягких тканей и дополнительного пространства для аугментации между субгингивальной частью абатмента и мукопериостальным лоскутом.
Полученный избыточный объем мягких тканей небного мукопериостального лоскута был использован для создания апрксимальных десневых сосочков, при этом применялась модифицированная методика ротированных лоскутов, предложенная Pallaci P et al. в 1995 году (Рис. 13).

Дополнительное пространство, образованное между абатментом и вестибулярным мукопериостальным лоскутом, ис пользовалось для мягкотканной аугментации с применением свободного соединительнотканного аутотрансплантата, полученного из небной области по методике «Single-incision technique» предложенной Hurzeler M, Weng D в 1999 году (Рис. 14, 15).


При сборе анамнеза выяснилось, что зуб был удален за два месяца до обращения в клинику по причине осложнений, возникших в процессе эндодонтического лечения. Сопутствующие заболевания отсутствовали, противопоказаний к имплантологическому лечению не выявлено.
При анализе КЛКТ обнаружили костный дефект вестибулярной и небной стенок лунки 2.1 зуба. В вестибулярно-оральном направлении дефект являлся сквозным, причем вестибулярная пластинка была разрушена более чем на половину (Рис. 2).

Отсутствие костной поддержки привело к образованию выраженного дефекта мягких тканей альвеолярного отростка (Рис. 3).

Учитывая сложность клинической задачи по достижению высоко-эстетичного и функционального результата, принципы применения малотравматичного подхода при лечении, необходимость использования временной реставрации для формирования контура прорезывания зуба, было принято решение о проведении хирургического вмешательства по протоколу навигационной имплантации - DDS с применением метода каркасной аугментации мягких тканей. (Lysov A, Safonov M. Digital Data Save (DDS). In: Minimally Invasive & More Efficient Implant Treatment with AnyRidge System by Kwang Bum Park, Yyung Jun Kim, Soheil Bechara and 20 Contributors. Narae Publishing, Inc. 2018.)
Суть метода заключается в следующем: после установки имплантата в зоне адентии, к нему фиксируется заранее изготовленный постоянный абатмент (Лысов А., Хабиев К. 2018), который служит опорой, как бы каркасом, для мягких тканей, формируя их дополнительный объем (Рис. 4). Применение данного подхода позволяет за одно хирургическое вмешательство достигать успешного результата лечения и является прекрасной альтернативой многоэтапным протоколам наращивания объема костной ткани.

С пациенткой согласовали следующий план лечения:
• установка дентального имплантат по цифровому хирургическому шаблону в строго запланированном положении;
• фиксация к только что установленному имплантату заранее изготовленного индивидуального постоянного абатмента;
• пластика мягких тканей с применением метода каркасной аугментации;
• фиксация заранее изготовленной временной реставрации;
• через три месяца изготовление постоянной коронки.
Подготовительный этап
С целью создания виртуальной модели пациентки, произвели объединение файлов полученных при сканировании гипсовых моделей (формат STL) и файлов полученных при КЛКТ (формат DICOM). В результате была создана цифровая анатомическая реконструкция костной и мягких тканей зоны оперативного вмешательства (Рис. 5).

С помощью программы R2GATE (Megagen) выполнили трехмерное позиционирование имплантата (Рис. 6).

На следующем этапе с виртуально-установленного имплантата получили виртуальный слепок, который в виде модели со скан-абатментом был направлен в цифровую зуботехническую лабораторию. Благодаря возможности установки имплантата в строго запланированном положении и возможности програмировать расположение его антиротационного элемента, в нашем случае шестигранника, в лаборатории с использованием технологии CAD/CAM был изготовлен индивидуальный постоянный абатмент и временная коронка для него. Параллельно с этим был создан проект хирургического направляющего шаблона, который распечатали с помощью 3D принтера. В результате подготовительных работ были получены следующие материал: имплантат AnyRidge (Megagen), диаметром 4.5 мм и длинной 13 мм, направляющий хирургический шаблон, индивидуальный постоянный абатмент (далее - одномоментный абатмент) и временную коронку.
Клинические этапы:
Под местной анестезией выполнили разрез по мягким тканям и сформировали вестибулярный и небный мукопериостальные лоскуты.
На рисунке 7 демонстрируется основная сложность данного клинического случая. Костный дефект достаточно выраженный, является сквозным, т.е. двухстеночным, но благодаря частичному сохранению костных пиков в области 1.1 и 2.2 зубов мы могли рассчитывать на успех лечения без применения многоэтапной костной пластики, а лишь с использованием каркасной аугментации мягких тканей.

С помощью направляющего шаблона, зафиксированного к зубам верхней челюсти (Рис. 8), выполнили подготовку ложа под имплантат и его установку (Рис. 9).

При установке имплантата использовался хирургический набор R2Kit, в состав которого входит имплантоввод со специальными метками, предназначенными для точного расположения имплантата и ориентации его антиротационного элемента в строго запланированном положении. Это достигается за счет совмещения меток имплантоввода со специальными локационными элементами направляющего шаблона (Рис. 10).

На рисунке 11 изображен имплантат, установленный в строго запланированном положении.

К только что установленному имплантату фиксируется заранее изготовленный индивидуальный постоянный абатмент с усилием 35 н/см (Рис. 12).

Важно отметить, что абатмент устанавливается один раз и больше никогда не извлекается из имплантата. Благодаря этому согласно экспериментальным (Abrahamson, Berglundh et al. - 1997), литературным (Tallarico M, Caneva M et al. - 2018) и клиническим (Linkevicius T et al. - 2010-2020) исследованиям удается исключить травмирование защитной мягкотканной буферной зоны на этапах протезирования, что в свою очередь предотвращает резорбцию костной ткани в области платформы дентального имплантата. Одномоментный абатмент, в качестве каркаса, способствует образованию избыточного объема мягких тканей и дополнительного пространства для аугментации между субгингивальной частью абатмента и мукопериостальным лоскутом.
Полученный избыточный объем мягких тканей небного мукопериостального лоскута был использован для создания апрксимальных десневых сосочков, при этом применялась модифицированная методика ротированных лоскутов, предложенная Pallaci P et al. в 1995 году (Рис. 13).

Дополнительное пространство, образованное между абатментом и вестибулярным мукопериостальным лоскутом, ис пользовалось для мягкотканной аугментации с применением свободного соединительнотканного аутотрансплантата, полученного из небной области по методике «Single-incision technique» предложенной Hurzeler M, Weng D в 1999 году (Рис. 14, 15).

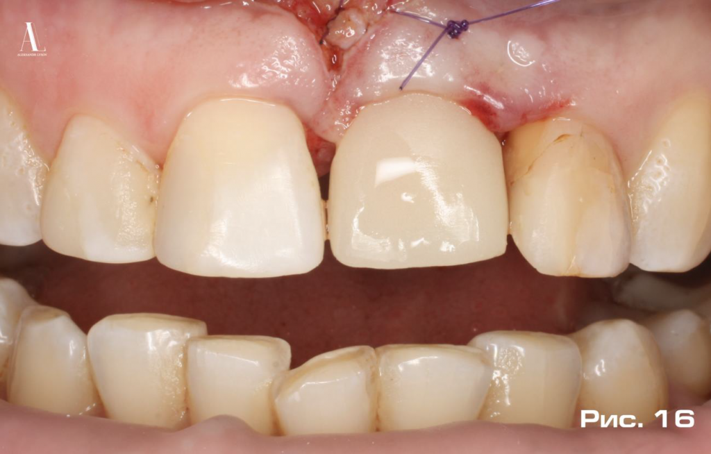
С целью иммобилизации мягких тканей, в зоне оперативного вмешательства, провели френулоплатику уздечки верхней губы. Временную коронку зафиксировали на небольшое количество временного цемента (Рис. 16).

Пациентке была назначена медикаментозная терапия. В процессе заживления проводились профилактические осмотры рентген-исследования и профессиональная гигиена. На рисунке 17 демонстрируется полученный объем мягких тканей (фотография сделана через три месяца после операции).

На этапе ортопедической реабилитации были изготовлены цельнокерамические реставрации на зубы 1.3, 1.2, 1.1, 2.2, 2.3 и имплантат в позиции 2.1.
В данном клиническом случае удалось добиться не только высоко-эстетичного, но и стабильного результата лечения, о чем свидетельствует отсутствие резорбции костной ткани в области платформы дентального имплантата через 3 года после имплантации (Рис. 20).

Заключение
Благодаря развитию и внедрению в стоматологическую практику цифровых технологий, у практикующих врачей, появилась возможность малоинвазивного достижения высокоэстетичных и успешных в функциональном аспекте результатов лечения.
За счет формирования и исключения травмирования защитной мягкотканной буферной зоны удается создать стабильные периимплантатные мягкие ткани, что является ключевым моментом для достижения положительных результатов имплантологического лечения в долгосрочной перспективе.
Кроме того, метод каркасной аугментации мягких тканей в сочетании с использованием одномоментного абатмента, в некоторых случаях, позволяет исключить необходимость применения многоэтапных протоколов хирургического лечения, что значительно сокращает сроки реабилитации, количество осложнений и финансовую нагрузку на пациента. Безусловно это положительно влияет на удовлетворенность и качество жизни пациента. Клиника, возглавляемая доктором Александром Лысовым, является партнером компании Дентал Гуру и активно использует в своей практике инновационную продукцию MegaGen.

